All Stories

  1. Earth

    Fingerprints of climate change are increasingly appearing in extreme weather

    A new report finds evidence that some of 2018’s extreme weather events were linked to human-caused climate change.

    By
  2. Archaeology

    Archaeologists have finally found ancient Egyptian wax head cones

    Newly discovered wax caps are the first physical examples of apparel shown in many ancient Egyptian art works.

    By
  3. Paleontology

    Licelike insects munched on dinosaur feathers around 100 million years ago

    Fossils in amber push the origin of feather-feeding insects back over 50 million years, a study finds.

    By
  4. Climate

    See how an Alaskan glacier has shrunk over time

    Scientists have created a time-lapse series of images of the retreat of an Alaskan glacier using NASA and U.S. Geological Survey Landsat data.

    By
  5. Ecosystems

    A newly found Atacama Desert soil community survives on sips of fog

    Lichens and other fungi and algae unite to form “grit-crust” on the dry soil of Chile’s Atacama Desert and survive on moisture from coastal fog.

    By
  6. Space

    Electric charges on dust grains may help explain how planets are born

    In an experiment, glass beads clung together like protoplanetary dust particles when shaken and flung more than 100 meters skyward.

    By
  7. Oceans

    Stealthy robots with microphones could improve maps of ocean noise

    Recordings from underwater microphones on stealthy robotic gliders could create a better “soundscape” of noises throughout the ocean, researchers say.

    By
  8. Science & Society

    Why Rembrandt and da Vinci may have painted themselves with skewed eyes

    A strongly dominant eye, not an eye disorder, may explain why some great artists painted themselves with one eye turned outward.

    By
  9. Science & Society

    ‘A Polar Affair’ delves into a centurylong cover-up of penguin sex

    In a new book, Lloyd Spencer Davis seeks to understand why an Antarctic explorer kept some of his penguin observations a secret.

    By
  10. Life

    An ancient critter may shed light on when mammals’ middle ear evolved

    Rare skeletons are helping to pin down the evolution of mammals’ three middle ear bones, known popularly as the hammer, anvil and stirrup.

    By
  11. Science & Society

    What happens when governments crack down on scientists just doing their jobs?

    Through their research findings or sense of duty, scientists can run afoul of government leaders keen to control information’s spread.

    By
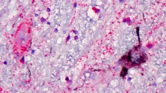
  12. Health & Medicine

    A once-scrapped Alzheimer’s drug may work after all, new analyses suggest

    An antibody that targets Alzheimer’s sticky protein amyloid showed promise in slowing mental decline, according to the company that’s developing it.

    By