In a first, human embryos edited to explore gene function

CRISPR/Cas9 is used to ‘knock out’ a gene needed to develop properly

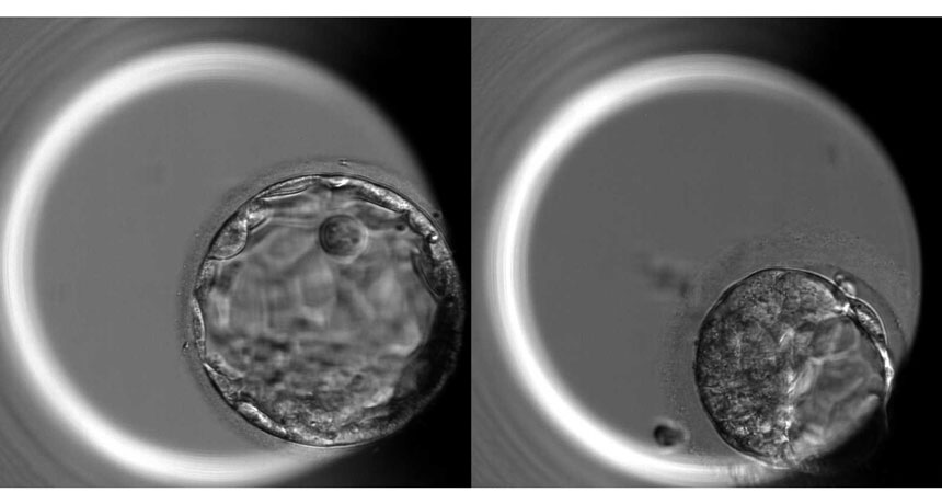
human blastocysts

EMBRYO, INTERRUPTED  A 5-day-old human embryo is usually composed of about 200 cells in a hollow ball configuration called a blastocyst (left). Embryos edited to remove the OCT4 gene (right) fail to make normal blastocysts.

K. Niakan/Nature 2017

For the first time, researchers have disabled a gene in human embryos to learn about its function.

Using molecular scissors called CRISPR/Cas9, researchers made crippling cuts in the OCT4 gene, Kathy Niakan and colleagues report September 20 in Nature. The edits revealed a surprising role for the gene in the development of the placenta.

Researchers commonly delete and disable genes in mice, fruit flies, yeast and other laboratory critters to investigate the genes’ normal roles, but have never done this before in human embryos. Last year, government regulators in the United Kingdom gave permission for Niakan, a developmental biologist at the Francis Crick Institute in London, and colleagues to perform gene editing on human embryos left over from in vitro fertilization treatments (SN Online: 2/1/16). The researchers spent nearly a year optimizing techniques in mouse embryos and human stem cells before conducting human embryo experiments, Niakan says.

This groundbreaking research allows researchers to directly study human development genes, says developmental biologist Dieter Egli of Columbia University. “This is unheard of. It’s not something that has been possible,” he says. “What we know about human development is largely inferred from studies of mice, frogs and other model organisms.”

Other researchers have used CRISPR/Cas9 to repair mutated genes in human embryos (SN: 4/15/17, p. 16; SN: 9/2/17, p. 6). The eventual aim of that research is to prevent genetic diseases, but it has led to concerns that the technology could be abused to produce “designer babies” who are better looking, smarter and more athletic than they otherwise would be.

“There’s nothing irresponsible about the research in this case,” says stem cell researcher Paul Knoepfler of the University of California, Davis, School of Medicine. The researchers focused on basic questions about how one gene affects human embryo development. Such studies may one day lead to better fertility treatments, but the more immediate goal is to gain better insights into human biology.

Niakan’s group focused on a gene called OCT4 (also known as POU5F1), a master regulator of gene activity, which is important in mouse embryo development. This gene is also known to help human embryonic stem cells stay flexible enough to become any type of body cell, a property known as pluripotency. Scientists use OCT4 protein to reprogram adult cells into embryonic-like cells, an indication that it is involved in early development (SN: 11/24/07, p. 323). But researchers didn’t know precisely how the OCT4 gene operates during human development. Niakan already had clues that it works at slightly different times in human embryos than it does in mice (SN: 10/3/15, p. 13).

In the experiment, human embryos lacking OCT4 had difficulty reaching the blastocyst stage: Only 19 percent of edited embryos formed blastocysts, while 47 percent of unedited embryos did. Blastocysts are balls of about 200 cells that form about five or six days after fertilization. The ball’s outer layer of cells gives rise to the placenta. Inside the blastocyst, one type of embryonic stem cells will become the yolk sac. Another kind, about 20 cells known as epiblast progenitor cells, will give rise to all the cells in the body.  

Niakan and colleagues predicted from earlier work with mice and human embryonic stem cells that the protein OCT4 would be necessary for the epiblast cells to develop correctly. As predicted, “knocking out” the OCT4 gene disrupted epiblasts’ development. What the researchers didn’t expect is that OCT4 also affects the development of the placenta precursor cells on the outside of the blastocyst.

“That’s not predicted anywhere in the literature,” Niakan says. “We’ll be spending quite a lot of time on this in the future to uncover exactly what this role might be.”

Tina Hesman Saey is the senior staff writer and reports on molecular biology. She has a Ph.D. in molecular genetics from Washington University in St. Louis and a master’s degree in science journalism from Boston University.