Birth control research is moving beyond the pill
Contraceptive tactics include stopping sperm from developing and saving eggs for later
ACCESS DENIED After decades of research, reproductive biologists are on the verge of developing new birth control options that stop sperm from maturing or save a woman's eggs for later.
Dan Page
Mention “the pill,” and only one kind of drug comes to mind. The claim that oral contraceptives have on that simple noun testifies to the pill’s singular effect in the United States. Introduced in 1960, the pill gave women reliable access to birth control for the first time. The opportunity to delay having children opened the door to higher education and professional careers for many women.
More than 50 years later, the most commonly used form of reversible contraception in this country is still the pill. Additional methods have been developed for women — such as implants, patches, vaginal rings and injectables — but most do basically the same thing as the pill: use synthetic versions of sex steroid hormones to suppress ovulation. The method has proved its merit, but the current crop of contraceptives doesn’t work for everyone. Some women can’t tolerate the side effects stemming from manipulation of the hormones. Others can’t use hormonal contraceptives at all, because of underlying health conditions.
And what’s new for men? Their main mode of contraception, the condom, has been around for at least 400 years, perhaps longer. Alternatively, men who want to take the lead on family planning can go the surgical route with a vasectomy.
The dearth of alternatives is not due to a lack of research. Reproductive biologists and other researchers have made many exciting discoveries since the pill was introduced. But taking a promising finding in cells or in mice to human testing is hard for any drug. And for contraceptives, there’s an extra wrinkle: “You’re developing products for very healthy people, so you have to make sure [the drugs] are incredibly safe, and the side effect profile is acceptable,” says Diana Blithe, a biochemist and chief of the contraceptive development program at the National Institute of Child Health and Human Development in Bethesda, Md.
Even with the long road to human testing, odds are that by the time the pill turns 75, there will be new options stocking the contraceptive cabinet. Researchers are currently exploring a method that keeps women’s eggs in a state of suspended animation for later use. For men, there could be nonhormonal methods that stop sperm from developing and launching their epic journey. The impact of these novel methods might ripple out into society much as the pill’s once did.
Room for improvement
There were 6.1 million pregnancies in the United States in 2011. Forty five percent of them, or a whopping 2.8 million, were not intentional, according to a 2016 report in the New England Journal of Medicine.
Unplanned pregnancies can have consequences for parents and kids, studies find. Women’s education can be cut short. Unwanted pregnancies are linked to delayed prenatal care — probably because moms don’t realize they’re pregnant — as well as low birth weight in infants. Postpartum depression is more common for mothers who did not intend to have a baby than for those who did.
The numbers also suggest that the contraceptives available aren’t meeting everyone’s needs. Some methods are expensive. And some users have health concerns or just don’t stick with an option. In 2008, about 40 percent of unintended pregnancies were in couples that used contraception, but inconsistently, according to the Guttmacher Institute, a reproductive health research and policy organization in New York City.
From 2011 to 2013, the most popular reversible contraceptive choice for women ages 15 to 44 was the pill, with use at nearly 26 percent. The pill and other hormonal contraceptives contain the female sex steroid hormones estrogen and progesterone, or progesterone alone, usually in synthetic forms. These hormones prevent ovulation by suppressing the brain’s release of follicle-stimulating hormone and luteinizing hormone.
Some women find that hormonal contraceptives work well; other women experience side effects such as headaches, nausea, mood changes and acne. Oral contraceptives also increase the risk of blood clots, taking the drugs off the table for women with a history of blood clots, stroke or cardiovascular disease. The pill is also a no-go for women with severe hypertension or who have ever had breast cancer.
Relying on hormones to halt sperm production can also work. A new hormone-based gel for men, applied to the skin, is in human testing. It combines the male sex steroid testosterone with a synthetic progesterone. Plans are under way for couples to test the gel as their only form of birth control. But giving men hormones can come with side effects, such as reduced muscle mass and a drop in sexual function.
Discoveries that are beginning to explain the earliest stages of egg development and the finishing touches of sperm growth may lead to steroid-free alternatives.
Snooze button
Hormonal contraception disrupts ovulation, and the egg that was scheduled for departure from an ovary dies. But what if there was a method that preserved the egg for later?
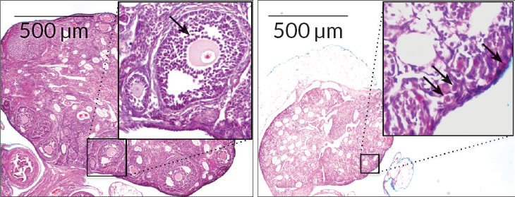
When women are born, their ovaries have a full set of oocytes, or eggs — a million or so. Each is housed within a sac of cells called a follicle. The outer portion of each ovary is filled with the earliest, dormant form of these egg-carrying follicles, called primordial follicles. The sleeping cells are waiting to be woken up, so they can begin growing in preparation for ovulation. But why the alarm clock goes off for one primordial follicle and not another is an open question, says reproductive biologist David Pépin of Massachusetts General Hospital and Harvard Medical School.
Today’s hormonal contraceptives act on ovarian follicles that are already growing, and once that starts, there is no going back — if ovulation doesn’t happen, the egg dies. Aiming contraception at the sleeping eggs could mean putting off pregnancy, while holding on to the eggs. By preventing that first wake-up call, “actually, you keep the egg,” Pépin says. “You could potentially preserve that pool of eggs for later in life, theoretically.”
Meet the biological agent that could keep eggs asleep: Müllerian-inhibiting substance, or MIS. Also known as anti-Müllerian hormone, MIS is not a sex steroid hormone. It is produced in the developing testes and prevents male embryos from growing female reproductive parts. In adult female mice, MIS can also be a perpetual snooze button for primordial follicles, Pépin and colleagues, including Mass General and Harvard pediatric surgeon Patricia Donahoe, reported in the Feb. 28 Proceedings of the National Academy of Sciences.
Hundreds of follicles are estimated to be in various stages of development at any given time. The active growers release MIS locally, which limits the number of primordial follicles that wake up. This process allows the body to control and maintain the supply of eggs over a woman’s reproductive life span.
In their study, Pépin, Donahoe and colleagues used a virus to introduce a modified version of the MIS gene into certain cells in mice. This permanent change gave the mice a higher dose of MIS protein than is found normally in females. The follicles that had already been growing completed their development, but after that, no new follicles were activated, leaving a collection of sleeping-beauty primordial follicles.
When the researchers paired female mice treated with the gene therapy with males, the females were still able to become pregnant — and have healthy babies — within the first six weeks, because of those follicles that had already started growing in the ovaries. Once that supply was used up, the females were infertile.
“You’re just stopping the horses that haven’t yet come out of the gate,” Donahoe says.
To test a nonpermanent approach, the team gave normal female mice the MIS protein as a twice-daily shot. Activation of primordial follicles stopped. When treatment ended, the ovaries got back to business and follicles began growing again.
Pépin and Donahoe see several uses for MIS as a contraceptive. The permanent gene therapy method could be a nonsurgical contraceptive approach for pets or stray animals. The research team is working with the Cincinnati Zoo to study this method in cats.
Frequent shots of the MIS protein are too expensive for broad use, but they could help protect the reserve of ovarian follicles in young cancer patients. “Growing follicles are dividing quite rapidly, so they are very sensitive to chemotherapy,” Pépin says. Chemo can kill off the growing follicles, which means there is no more MIS to stop activation of other primordial follicles. Too many follicles wake up, which can deplete a woman’s egg supply. In mice given chemotherapy drugs, MIS-treated animals were left with more primordial follicles than untreated animals, the researchers found.
Still eager to make an MIS-like contraceptive for all women that is cheap and easy to use, perhaps as a pill, the researchers are searching libraries of small molecules to find one that mimics the action of MIS. “Maybe it would be an already existing [U.S. Food and Drug Administration] approved medication — that’s the first screen we are performing — or maybe it’s a very simple molecule, very cheap to synthesize,” Pépin says.
Story continues below image
Sperm stoppers
In men, vitamin A does more than promote healthy eyes. It’s essential for sperm production, too. The testes take up vitamin A from carrots and other foods and convert it to retinoic acid. The acid binds to the retinoic acid receptor, which is found in cells throughout the body.
In the 1990s, scientists reported that when they disrupted the gene for one version of the retinoic acid receptor, referred to as alpha, in mice, “the animals are fine, but the males are sterile,” says geneticist Debra Wolgemuth of Columbia University Medical Center. Wolgemuth and her colleagues, who study the biology of sperm production, set out to find a drug that could interfere with the receptor, rather than permanently knocking out the gene.
Wolgemuth came across a paper from 2001 by a group studying a drug that could bind to all three versions of the receptor, including alpha. The drug inactivates the receptor and shuts down the series of events that typically follow. Although tests in rats showed the drug could be taken orally and broken down safely by the body, the researchers highlighted one notable side effect. “They called it testicular ‘toxicity,’ ” Wolgemuth says.
Rather than a negative, Wolgemuth saw the toxicity as a sign of a potential male contraceptive. With molecular biologist Sanny Chung of Columbia and colleagues, she gave the drug to male mice for seven days, then examined their testes.
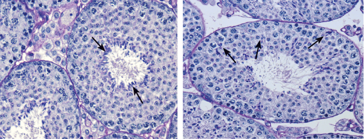
Sperm go through many stages of development as they transition from round germ cells to their final shape with a characteristic head and tail. Before sperm are released to “begin their journey through the male reproductive system,” says Wolgemuth, “they line up like little soldiers in a battalion to leave the testes.”
Story continues below image
In mice treated with the drug, the sperm don’t align properly, Wolgemuth and colleagues reported in 2011 in Endocrinology. The sperm aren’t released, so they die in the testes. The researchers found no evidence of harm to other organs. Male mice given the drug once a day for four weeks became infertile by the end of treatment and remained that way for four weeks after treatment stopped. By 12 weeks after treatment, the mice regained their mojo and successfully mated with females.
Later, the team gave mice a smaller dose of the drug for 16 weeks, over a quarter of their reproductive lives, notes Chung. The treated mice became sterile, but once off the drug, they soon became papas to healthy pups that grew into fertile adults, the researchers wrote in Endocrinology last year.
Next step: Wolgemuth plans to test the drug in nonhuman primates. Her group is also collaborating with a team of medicinal chemists to look for compounds that target only the alpha version of the retinoic acid receptor. Even though the tested drug did not lead to side effects, having an option that doesn’t interfere with the other two versions of the receptor would be ideal, says Wolgemuth.
Untethered sperm
Another nonhormonal male contraceptive is the result of a long research career dedicated to such a product. In the late 1960s, Joseph Tash had two tours as a summer student in an obstetrics and gynecological department at Michael Reese Hospital in Chicago. He saw how heavily the burden of birth control fell to women. “I felt it was important to try to expand the contraceptive and family planning choices to men,” he says.
In 2013, the compound H2-gamendazole became the first nonhormonal contraceptive to receive FDA regulatory guidance, a crucial thumbs-up along the drug development road. It’s a kind of checklist of the testing conditions and experiments necessary to proceed with preclinical and human trials.
Tash, now at the University of Kansas Medical Center in Kansas City, and colleagues began with an anticancer drug that, during clinical trials, severely cut down on sperm production. But there were a lot of side effects, Tash says, which would be “totally unacceptable to otherwise healthy males.” So the researchers designed similar drugs to minimize the side effects, including H2-gamendazole. Rats given a single oral dose of the drug once a week for six weeks became sterile after two weeks of use. By 10 weeks after the dosing stopped, all of the animals were fully fertile again.
The drug interferes with the last stage of sperm development, when the cells acquire their familiar sperm features. At this stage, as well as throughout the developmental process, sperm are tended to by Sertoli cells, which feed and support the growing sperm. The sperm are actually tethered to the Sertoli cells to prevent them from leaving the reef before they can swim.
H2-gamendazole disrupts the junctions between the sperm and the Sertoli cells, releasing the sperm prematurely and leading to their destruction. “The testes have a built-in cleaning system, so to speak, that gets rid of the abnormal sperm,” Tash says.
Tash’s team has also tested H2-gamendazole in mice, rabbits, dogs and monkeys. In each animal, there was a “block in sperm production just exactly like we see in the rats,” Tash says. The team has also found that the drug can be taken as a pill and is rapidly taken up by the testes, at levels 10 to 20 times higher than in other tissues. “I think this explains to a large extent why we haven’t seen any remarkable side effects,” Tash says.
The work on H2-gamendazole, yet to be published, led to the FDA’s regulatory guidance, a show of confidence in the drug. If Tash and colleagues can demonstrate to the FDA that the drug is safe and well tolerated, that might pique the interest of pharmaceutical companies to handle the final stages of testing and to take the drug to market. “It’s going to have to be a squeaky clean compound for pharma to become interested,” Tash says.
Birth control methods born of these projects might shake things up outside the bedroom. If further testing finds that eggs kept asleep by an MIS-based contraceptive remain healthy and viable, delaying pregnancy may not necessarily lead to reduced fertility. “A lot of women 35 and older are faced with reduced fertility,” Pépin says. “A method to target the activation of primordial follicles so you could keep them for later — I think that would be beneficial.”
Any new contraceptive options for men could shift the conversation men and women have about birth control. A multinational survey published in 2005 found more than half of men would be willing to use a new method of male birth control. “There is an increasing number of men who are willing to help carry that burden,” Tash says.
“When that first product gets out there for men,” Blithe adds, “I think that will be a turning point.”
This story appears in the Sept. 2, 2017 Science News with the headline, “Access denied: Scientists seek innovative ways to block the union of egg and sperm.”



