Poliovirus treatment helped patients with deadly brain tumors live longer
A modified form of the virus increased survival in some people with glioblastoma

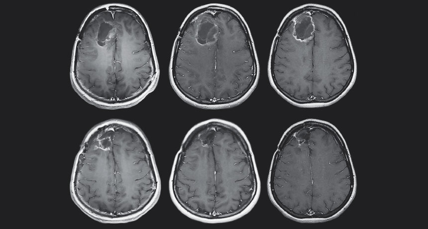
GOING, GOING… These MRI images show a patient’s glioblastoma tumor eventually shrinking after being dosed with an altered poliovirus. The bottom row shows the tumor a year after treatment (left), at two years (middle) and at nearly five years (right).
A. Desjardins et al/New England Journal of Medicine 2018