Laura Sanders
Senior Writer, Neuroscience
Laura Sanders reports on neuroscience for Science News. She wrote Growth Curve, a blog about the science of raising kids, from 2013 to 2019 and continues to write about child development and parenting from time to time. She earned her Ph.D. in molecular biology from the University of Southern California in Los Angeles, where she studied the nerve cells that compel a fruit fly to perform a dazzling mating dance. Convinced that she was missing some exciting science somewhere, Laura turned her eye toward writing about brains in all shapes and forms. She holds undergraduate degrees in creative writing and biology from Vanderbilt University in Nashville, where she was a National Merit Scholar. Growth Curve, her 2012 series on consciousness and her 2013 article on the dearth of psychiatric drugs have received awards recognizing editorial excellence.
Trustworthy journalism comes at a price.
Scientists and journalists share a core belief in questioning, observing and verifying to reach the truth. Science News reports on crucial research and discovery across science disciplines. We need your financial support to make it happen – every contribution makes a difference.
All Stories by Laura Sanders
-
Health & MedicineGot a cold? A placebo might help
Amid doubts over a common decongestant, evidence suggests the placebo effect can still help people suffering from a cold.
-
NeuroscienceHow people suppress memories may be key to PTSD recovery
People who recovered from PTSD changed the way their brains handle intrusive thoughts, a study of survivors of the 2015 Paris terrorist attacks shows.
-
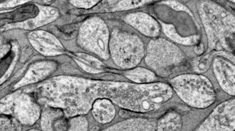
NeuroscienceThe message-sending part of neurons may be blobby, not smooth
Axons can be shaped like strings of pearls, research in mice and people show. How that shape may influence brain signaling is not yet clear.
-
NeuroscienceElectronic ‘tattoos’ offer an alternative to electrodes for brain monitoring
A standard EEG test requires electrodes that come with pitfalls. A spray-on ink, capable of carrying electrical signals, avoids some of those.
-
Health & MedicineVaccines, fluoride, raw milk: How RFK Jr.’s views may shape public health
If confirmed as head of the Department of Health and Human Services, Kennedy could influence U.S. policy on vaccines, drugs and food safety.
-
NeuroscienceSome people don’t have a mind’s eye. Scientists want to know why
The senses of sight and sound are usually mingled in the brain, but not for people with aphantasia.
-
PsychologySmiles tweaked by AI can boost attraction, a speed-dating study shows
Using face filters to alter expressions manipulated feelings of attraction, raising questions about how such technology may influence social interactions.
-
NeuroscienceHair pulling prompts one of the fastest known pain signals
The ouch of hair pulling is transmitted with the help of a protein used to sense light touches. These details could lead to new treatments.
-
NeuroscienceSemaglutide saps mice’s motivation to run
Mice given semaglutide, the key ingredient in drugs like Ozempic and Wegovy, lost weight, but they also voluntarily ran less on a wheel.
-
NeuroscienceScientists have traced all 54.5 million connections in a fruit fly’s brain
By tracing every single connection between nerve cells in a single fruit fly’s brain, scientists have created the “connectome,” a tool that could help reveal how brains work.
-
NeuroscienceA study in mice hints at a new way to treat spinal cord injuries
The finding suggests that a drug to ease swelling can speed recovery and stop cell death.
-
NeuroscienceA cell biologist is investigating the balance of brain flexibility, stability
Andrea Gomez, a Berkeley molecular and cell biologist, applies her wide-ranging curiosity to brains’ mysteries ranging from synapses to psychedelics.