Babies can recover language skills after a left-side stroke

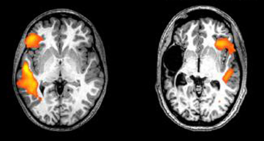
SWITCHING SIDES These fMRI scans show the brain activity of a healthy person (left) and a stroke patient (right) while doing a language-related task. Having a stroke just before or after being born flips key language-processing areas from the left to the right side of the brain, a new study shows.
E. NEWPORT