Electrodes show a glimpse of memories emerging in a brain
Certain nerve cells sync their firing just before a recollection resurfaces
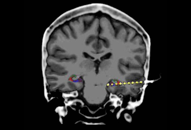
ALTOGETHER NOW Fast ripples of activity appear in the hippocampus, a memory center in the brain, right before a person describes a previously seen image, a study finds.
Movus/iStock/Getty Images Plus
