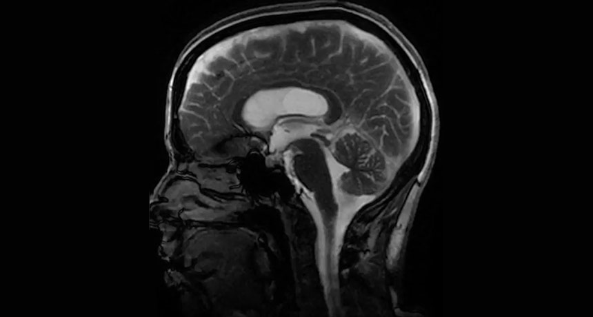
Watch the brain jiggle with each heartbeat
The imaging method could help scientists spot abnormal motion
BRAIN IN MOTION By amplifying tiny movements, a new technique reveals how the brain wiggles as fluid moves in and out.
Stanford University and University of Auckland
