Humans

Sign up for our newsletter

We summarize the week's scientific breakthroughs every Thursday.

  1. Health & Medicine

    A gene editing technique shows promise for lowering LDL cholesterol 

    In a trial of 10 people with familial hypercholesterolemia, a genetic medicine reduced levels of LDL cholesterol in the blood by up to 55 percent.

    By
  2. Anthropology

    Spanish horses joined Indigenous South Americans’ societies long before Europeans came to stay

    By the early 1600s, hunter-gatherers at the continent’s southern tip adopted horses left behind by colonial newcomers, new finds suggest.

    By
  3. Health & Medicine

    The first CRISPR therapy approved in the U.S. will treat sickle cell disease

    In the world’s first CRISPR-based treatment, genetic tweaks to red blood cells aim to help people with the often debilitating disease.

    By
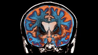
  4. Neuroscience

    Electrical brain implants may help patients with severe brain injuries

    After deep brain stimulation, five patients with severe brain injuries improved their scores on a test of cognitive function.

    By
  5. Archaeology

    Ancient Maya power brokers lived in neighborhoods, not just palaces

    Lidar discoveries and recent excavations are forcing archaeologists to rethink ancient Maya political structures.

    By
  6. Archaeology

    A mysterious ancient grave with a sword and mirror belonged to a woman

    The items hint that she fought in or helped plan raids and defensive actions in what’s now southwestern England about 2,000 years ago, scientists speculate.

    By
  7. Health & Medicine

    A brain-monitoring device may one day take the guesswork out of anesthesia

    The automated device pairing brain activity and dosing kept two macaques sedated for 125 minutes, raising hopes of precision anesthesia for people.

    By
  8. Health & Medicine

    50 years ago, scientists suspected that lost sense of smell could be restored

    Cells responsible for humans’ sense of smell can regenerate. Now, research spurred on by the pandemic could help answer questions about the process.

    By
  9. Health & Medicine

    Why a popular breast cancer drug may be less effective for some Africans

    A genetic variant commonly found in certain African populations appears to impair tamoxifen’s ability to tackle breast cancer.

    By
  10. Life

    Bonobos, like humans, cooperate with unrelated members of other groups

    Cooperation between unrelated individuals in different groups without clear and immediate benefit was thought to be uniquely human. Its presence in bonobos may help explain its evolution.

    By
  11. Health & Medicine

    Flint grapples with the mental health fallout from the water disaster

    The water crisis started almost a decade ago. Residents of Flint, Mich., are still healing from the disaster — and caring for their own.

    By
  12. Health & Medicine

    The weight-loss drug Wegovy lowered heart attack risk in a large trial

    Among 17,000 adults, those on semaglutide were less likely to experience nonfatal heart attacks and strokes or death due to cardiovascular disease.

    By