Health & Medicine

  1. Health & Medicine

    The U.S. COVID-19 public health emergency is ending. What does that mean?

    The declaration, made early in the pandemic, made tests, vaccines and treatments free to all. On May 11, the proclamation ends.

    By , and
  2. Health & Medicine

    Women who’ve had breast cancer can safely pause treatment for pregnancy

    Hormone therapy cannot be taken during pregnancy. A new study is reassuring for women who’ve had breast cancer and want to try for a baby.

    By
  3. Health & Medicine

    The FDA has approved the first-ever vaccine for RSV

    GSK’s shot, for those 60 and over, can protect against severe respiratory syncytial virus. Other vaccines, including to protect newborns, are in the works.

    By
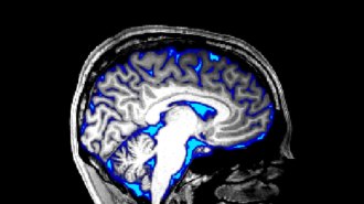
  4. Health & Medicine

    Ultrasound allows a chemotherapy drug to enter the human brain

    An early-stage clinical trial demonstrates a technique for getting a powerful chemotherapy drug past the usually impenetrable blood-brain barrier.

    By
  5. Health & Medicine

    Mouse hair turns gray when certain stem cells get stuck

    Stem cells involved in giving hair its color must keep moving and changing maturity levels to prevent graying, a mouse study suggests.

    By
  6. Health & Medicine

    Fentanyl deaths have spiked among U.S. children and teens

    Wider access to naloxone, which reverses the deadly effect of fentanyl, is key as more children are exposed to the opioid, experts say.

    By
  7. Health & Medicine

    Here’s what we know about upcoming vaccines and antibodies against RSV

    New vaccines and monoclonal antibodies may be available this year to fend off severe disease caused by respiratory syncytial virus.

    By
  8. Health & Medicine

    Pets and people bonded during the pandemic. But owners were still stressed and lonely

    People grew closer to their pets during the first two years of COVID. But pet ownership didn’t reduce stress or loneliness, survey data show.

    By
  9. Health & Medicine

    A graphene “tattoo” could help hearts keep their beat

    A proof-of-concept electronic heart tattoo relies on graphene to act as an ultrathin, flexible pacemaker. In rats, it treated an irregular heartbeat.

    By
  10. Humans

    ‘Period’ wants to change how you think about menstruation

    Kate Clancy offers fascinating science and history about the uterus and menstruation in her book, Period: The Real Story of Menstruation.

    By
  11. Animals

    Hibernating bears don’t get blood clots. Now scientists know why

    People who sit still for hours have an increased risk of blood clots, but hibernating bears and people with long-term immobility don’t. A key clotting protein appears to be the reason why.

    By
  12. Health & Medicine

    Estrogen in birth control could be cut way back, a study suggests

    Delivering an extra low dose of estrogen, or a combination of estrogen and progesterone, at a specific time of the menstrual cycle may prevent ovulation.

    By