Humans

Sign up for our newsletter

We summarize the week's scientific breakthroughs every Thursday.

  1. Health & Medicine

    Cases of the new coronavirus hint at the disease’s severity, symptoms and spread

    As the coronavirus outbreak continues, estimates suggest that the majority of cases are mild. New research is clarifying how more severe cases progress.

    By and
  2. Health & Medicine

    CRISPR-edited immune cells for fighting cancer passed a safety test

    Immune cells engineered with CRISPR to fight cancer made some errors, but caused no serious side effects in participants of a small clinical trial.

    By
  3. Archaeology

    An ancient skeleton from an underwater Mexican cave sheds light on early Americans

    A nearly 10,000-year-old skeleton discovered in a submerged Mexican cave provides more clues to how and when people settled the Americas.

    By
  4. Archaeology

    Wasp nests provide the key to dating 12,000-year-old Aboriginal rock art

    Dating wasp nest remnants found beneath and atop painted rock art in Australia suggests the pictures were made some 5,000 years later than thought.

    By
  5. Health & Medicine

    The FDA has approved the first drug to treat peanut allergies

    The drug, called Palforzia, may reduce the dangers of unintentional exposure to peanuts for allergic children.

    By
  6. Health & Medicine

    An experimental HIV vaccine failed a key trial in South Africa

    A vaccine against the human immunodeficiency virus tested in South Africa did not reduce the risk of infection with the virus.

    By
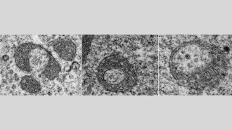
  7. Health & Medicine

    SARS and the new coronavirus target the same cellular lock to infect cells

    Experiments with living cells grown in the lab show that 2019-nCoV enters cells the same way as SARS.

    By
  8. Health & Medicine

    Scientists question White House measures to limit spread of coronavirus

    The White House announced new steps to fight the coronavirus outbreak, in what’s becoming one of the biggest public health challenges in decades.

    By , , and
  9. Health & Medicine

    The first case of coronavirus being spread by a person with no symptoms has been found

    Coronavirus cases among coworkers in Germany suggest that the virus can spread from person to person before symptoms appear, similar to the flu.

    By
  10. Health & Medicine

    50 years ago, scientists debated the necessity of a smallpox vaccine

    In 1970, scientists debated the necessity of routine smallpox vaccinations as the disease declined. Fifty years later, the debate continues.

    By
  11. Health & Medicine

    WHO declares coronavirus outbreak a global public health emergency

    The World Health Organization says the coronavirus outbreak that began in China has been reported in 18 other countries.

    By
  12. Genetics

    A new genetic analysis reveals that modern Africans have some Neandertal DNA too

    Humans migrating back to Africa brought genetic material from humans’ extinct Neandertal relatives along for the ride.

    By