Electrode turns consciousness on and off
Woman lost awareness, though appeared awake, when her brain was stimulated

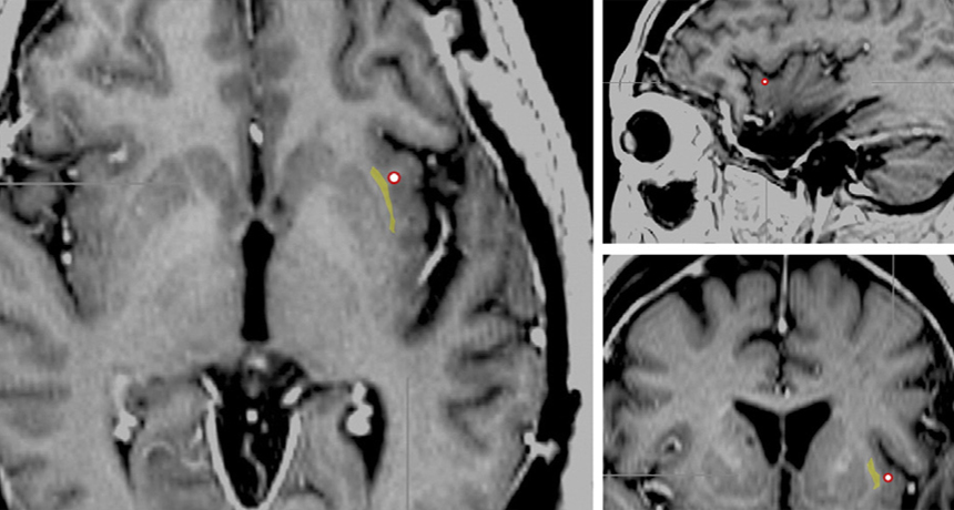
OFF SWITCH An electrode (red circle) used to stimulate a brain site near an epileptic woman’s claustrum (highlighted in yellow) appears on these brain scans. When the electrode was turned on, she appeared to lose consciousness.
M. Koubeissi et al/Epilepsy & Behavior 2014
- More than 2 years ago
With a zap from a single brain electrode, doctors were able to wipe out a woman’s consciousness. As soon as the electrode turned on, the woman remained awake but became blank and withdrew from awareness. When the electrode turned off, she returned to normal, though she remembered nothing of the experience.
The results provide a tantalizing hint to a question that has plagued thinkers for millennia: How can a hunk of tissue in the skull create subjective feelings and experiences? Today’s brain scientists have attacked this mind-body problem with new theories and experiments designed to tease apart the components of consciousness within the brain (SN: 2/11/12, p. 22). This on-off consciousness switch may lead to a deeper understanding of how the physical brain creates a mental experience.
The abrupt switch from awareness to its complete absence may be orchestrated by an enigmatic wisp of brain tissue known as the claustrum, scientists propose June 24 in Epilepsy & Behavior. The consciousness-impairing electrode was positioned close to this thin sheet of cells, which forms connections with many other regions of the brain.
If confirmed, the results might ultimately point out ways to treat people with epilepsy or even rouse people from comas or vegetative states, says study coauthor Mohamad Koubeissi of George Washington University.

While undergoing treatment for severe epilepsy, a 54-year-old woman had multiple electrodes inserted into her brain. Koubeissi and his colleagues were surprised by a big change when they turned on the electrode near the claustrum.
“She appeared extremely confused and she was unable to respond and unable to process any information,” Koubeissi says. “When the stimulation ended, she had absolutely no idea anything had happened.” It seemed that her awareness had temporarily left her.
In later stimulation sessions, the researchers tested her awareness. She wasn’t able to read a word, follow spoken or written commands or initiate movement while the electrode was on, the team found. If she was in the middle of a task when the electrode turned on, such as repeating a word or moving her tongue or hand in a repetitive way, she would continue for a few seconds before stopping, indicating that her movement and speech abilities remained intact.
“Her eyes were open and she maintained her sitting posture, but she wasn’t able to process any information whatsoever,” Koubeissi says.
Because the electrodes were implanted temporarily, researchers had just two days for their tests. During this brief window, the electrode near the claustrum seemed to cause a loss of consciousness each of the 10 times it was turned on. The researchers don’t know whether the woman could feel pain in her altered state. However, her unconscious state didn’t appear to be the same as that caused by anesthesia.
“What you seem to get with this stimulation is a disruption of consciousness but without a disruption of wakefulness,” says Anil Seth, who studies consciousness at the University of Sussex in England.
The patient has suffered seizures and has had brain tissue removed. For these reasons, Seth cautions that the brains of other people might not respond similarly to electrode stimulation near the claustrum. “This is not a normal brain that we’re looking at,” he says.
Still, if confirmed in further studies in people and animals, the results would be “a huge step towards a final understanding of the mind-body problem,” says Koch.