Current Issue

Vol. 186 No. 3
Download PDF Modal Example Archive Issues Modal Example
« Previous | Next »

Reviews & Previews

Science Visualized

Notebook

Features

More Stories from the August 9, 2014 issue

  1. Health & Medicine

    Junk food ahead of pregnancy may harm baby-to-be

    Women who have poor diets in the year before conception might have a higher risk of delivering a baby preterm than do women who eat healthful foods

    By
  2. Psychology

    Tablet devices help kids with autism speak up

    Talking iPads may help break the near-silence of some kids with autism.

    By
  3. Life

    Tibetans live high life thanks to extinct human relatives

    DNA shared by modern-day Tibetans and extinct Denisovans suggests people picked up helpful genes through interbreeding with other hominids.

    By
  4. Health & Medicine

    Supercooling makes livers for transplants last longer

    Supercooling a rat liver for transplant greatly increased an organ’s survival time outside the body, potentially opening the door for global allocation of human organs.

    By
  5. Astronomy

    Exoplanets once trumpeted as life-friendly may not exist

    Two exoplanets considered among the most promising for hosting life may not exist, a new study suggests.

    By
  6. Psychology

    People will take pain over being left alone with their thoughts

    Evidence suggests that people dislike solitary thought so much that some prefer electric shocks.

    By
  7. Earth

    Oklahoma earthquakes triggered by wastewater injection

    Dumping wastewater from the oil and gas industry into disposal wells may have set off swarm of earthquakes in Oklahoma.

    By
  8. Astronomy

    Rare planet circles just one of a pair of stars

    A newly discovered exoplanet orbits one star in a binary pair and shows that planets can form even with a second sun nearby.

    By
  9. Earth

    Gravity variations foretell flood risk months in advance

    Tiny gravitational tugs from saturated river basins allow NASA satellites to forecast flood risk.

    By
  10. Environment

    Microplastics lodge in crab gills and guts

    Crabs can absorb microplastic particles through their gills and by eating polluted mussels.

    By
  11. Paleontology

    Duck-billed dinosaurs roamed the Arctic in herds

    Young and old duck-billed dinosaurs lived together in herds in the Arctic, tracks preserved in Alaska indicate.

    By
  12. Life

    Gecko adhesion takes electric turn

    Challenging a favored theory, measurements suggest that electrostatic interactions make gecko feet supersticky.

    By
  13. Health & Medicine

    Two genes clear up psoriasis and eczema confusion

    Psoriasis and eczema are often mistaken for each other, leading to mistreatment. Testing just two genes could eliminate this confusion.

    By
  14. Environment

    Decline in birds linked to common insecticide

    In addition to harming bee populations, neonicotinoid insecticides may also be detrimental to bug-eating birds.

    By
  15. Cosmology

    Lab version of early universe fails to solve lithium problem

    An experiment that imitated conditions from just after the Big Bang failed to explain why observed amounts of lithium don’t match those expected from theory.

    By
  16. Oceans

    Saharan dust explains Bahamas’ paradoxical existence

    Windswept dust from the Sahara Desert may fertilize bacteria that built the Bahamas.

    By
  17. Anthropology

    Clovis people may have hunted elephant-like prey, not just mammoths

    The ancient American Clovis culture started out hunting elephant-like animals well south of New World entry points, finds in Mexico suggest.

    By
  18. Neuroscience

    Heavy marijuana use may affect dopamine response

    People who regularly smoke five joints a day had dampened reactions to the chemical messenger dopamine.

    By
  19. Neuroscience

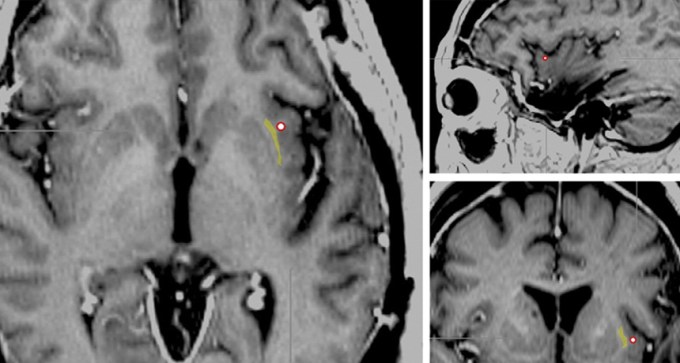
    Electrode turns consciousness on and off

    Woman lost awareness, though appeared awake, when her brain was stimulated near an area called the claustrum.

    By
  20. Physics

    Diamonds under pressure impersonate exoplanet cores

    Scientists use lasers at the National Ignition Facility to squeeze diamonds to the extreme pressures found inside massive exoplanets.

    By
  21. Science & Society

    An app to track firefly flashings

    This summer, you can contribute to citizen science by tracking lightning bugs in your backyard.

    By
  22. Life

    Chemical evidence paved way for discovery of early life

    The discovery in 1964 of compounds related to chlorophyll in billion-year-old rocks pushed back the timing of life’s origins.

    By
  23. Animals

    Parchment worms are best pinched in the dark

    Meek tube-dwelling worms have strange glowing mucus and build papery tubes.

    By
  24. Health & Medicine

    Boot camp bug

    Adenoviruses, which cause respiratory illnesses including some colds, plague boot camps.

    By
  25. Health & Medicine

    HIV reemerges in ‘cured’ child

    The discovery spotlights limits in detecting the clandestine germ and raises questions about whether HIV can ever truly be cured.

    By
  26. Materials Science

    ‘Stuff Matters’ explores the science behind everyday objects

    Author Mark Miodownik explores why everyday materials look and behave the way they do.

    By