Immune system ‘reset’ may give MS patients a new lease on life

Drugs followed by stem cell transplant greatly slow nerve damage, other symptoms, in relapsing-remitting form of disease

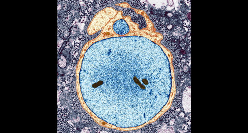
MS nerve

LOST COAT  This nerve (blue) is missing the thick protective sheath that normally insulates it, as happens in multiple sclerosis. The thin barrier around it is a brain cell (brown) that makes the sheath. Such poor insulation damages nerve signaling.

Steve Gschmeissner / Science Source

Many multiple sclerosis patients may benefit from having their wayward immune systems “reset.” Researchers report in the Jan. 20 JAMA that removing some stem cells from a patient’s blood and then reinserting them later stops MS flare-ups in at least four-fifths of patients.

In the study, 123 patients had relapsing-remitting MS, the most common form in which the disease flares sporadically; 28 other patients had a more advanced progressive form of MS. In all these patients, rogue immune cells orchestrate attacks on the fatty sheaths lining nerves in the central nervous system. The researchers removed stem cells — nascent immune cells — from the patients, who then received drugs to knock back their existing immune cell populations. Putting the stem cells back into the patients rebuilt their normal immunity.

Overall, 89 percent of the patients were alive and free of relapses at two years and 80 percent were free and clear at four years after the treatment. The patients also generally showed a steady decline in the number and volume of brain lesions related to MS, evidence that the immune system reset was reversing damage caused to nerves.

The relapsing-remitting patients did much better than those with progressive MS, says study coauthor Richard Burt, a physician and immune therapy researcher at Northwestern University School of Medicine in Chicago. The study is good news for the more than 2.3 million people worldwide living with MS, yet it will take a randomized trial to confirm the findings.