Neuroscience
- 			 Neuroscience NeuroscienceBrain’s growth, networks unveiled in new mapsTwo large-scale efforts describe human and mouse brains in detail. 
- 			 Neuroscience NeuroscienceLost sleep could mean lost neuronsA new study shows we may not be able to make up for chronic sleep deprivation. The protein SirT3 might protect us against late nights, but all-nighters may produce neuron loss. 
- 			 Psychology PsychologyTwenty-two emotions are written on our facesPeople’s faces express at least 22 feelings – far more than the six emotions scientists previously recognized. By Meghan Rosen
- 			 Neuroscience NeuroscienceHa! The Science of When We Laugh and WhyScott Weems, a neuroscientist, takes readers on a wide-ranging tour that explains what humor is and why readers should care. By Sid Perkins
- 			 Neuroscience NeuroscienceTen thousand neurons linked to behaviors in flyBy studying the wiggles of 37,780 fly larvae, scientists link specific neurons to 29 distinct behaviors. 
- 			 Health & Medicine Health & MedicineDiet fix eases Huntington’s symptoms in miceSupplement improves health of rodents with mutation that causes neurodegeneration like that seen in Huntington’s disease. 
- 			 Neuroscience NeuroscienceScans suggest how the mind solves ethical dilemmasBrain scans suggest how the mind solves a moral dilemma. 
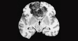
- 			 Health & Medicine Health & MedicineSmall molecule makes brain cancer cells collapse and dieA small molecule, Vacquinol-1, may provide a different way to target and kill cells in glioblastomas, a type of brain tumor. 
- 			 Life LifeHuman noses know more than 1 trillion odorsSense of smell displays a vast reach in study of people’s ability to distinguish between scents. By Bruce Bower
- 			 Neuroscience NeuroscienceCalcium in alcoholism drug may be what prevents relapseAcamprosate, one of the few drugs to treat alcoholism, may be nothing more than a vehicle for a calcium supplement. 
- 			 Neuroscience NeurosciencePianists learn better by playingPianists’ muscle memory helped them recognize incorrect notes. 
- 			 Neuroscience NeuroscienceBrain chemicals help worms live long and prosperSerotonin and dopamine accompany long lives in C. elegans worms under caloric restriction.