Small molecule makes brain cancer cells collapse and die

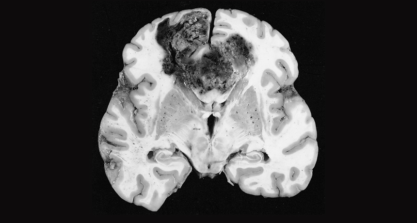
A new study suggests that certain small molecules may help kill the damaged cells that cause glioblastomas, highly malignant brain tumors.
Dr. Rodney D. McComb/Wikimedia Commons
A new study suggests that certain small molecules may help kill the damaged cells that cause glioblastomas, highly malignant brain tumors.
Dr. Rodney D. McComb/Wikimedia Commons