These are the viruses that defined 2024
This year included record-breaking surges in dengue and mpox cases, a polio outbreak in Gaza and more
A health worker in Brazil sprays insecticide at a mall to kill dengue-carrying mosquitoes. Of more than 12 million cases globally this year, most occurred in the Americas.
ANDRESSA ANHOLETE/GETTY IMAGES
From mpox to bird flu and beyond, multiple infectious disease outbreaks flared up around the world this year.
Dengue cases soared
It was a record year for dengue fever, a disease transmitted by mosquitoes. The Americas have amassed about 12.7 million cases as of early December. That’s about 90 percent of the roughly 14 million cases recorded around the world. Cases in the Americas alone are also more than double the previous global record of 5.3 million cases reported by the WHO just last year.
Climate change, El Niño and urbanization may have played a part in the massive outbreak, according to the WHO.
Rising temperatures may have boosted dengue transmission by around 18 percent in the Americas and Asia compared with what levels would have been in a world without warming, scientists reported in a paper posted this year at medRxiv.org. Depending on how high the average global temperature gets by 2050, transmission could become 40 to 57 percent higher on average than expected without climate change.
Mpox sparked a global emergency
A surge of mpox cases across Central Africa reached a tipping point that prompted the World Health Organization to declare the outbreak a public health emergency of international concern in August (SN: 9/7/24 & 9/21/24, p. 6).
Mpox, which can cause fever, muscle aches and a hallmark rash with painful pus-filled lesions, has long been a problem in parts of Africa. The Democratic Republic of Congo, where the first case was reported in 1970, is the center of the current outbreak. This year, the virus that causes mpox spread to previously unaffected countries including Burundi, Kenya, Rwanda and Uganda.
As of early December, there have been nearly 60,000 confirmed and suspected cases in 20 countries and 60 deaths in 2024. Children have been particularly hard hit.

Since late August, more than 170,000 vaccine doses have been distributed to Nigeria, Congo and Rwanda. On November 19, the United Nations authorized the first mpox vaccine for children age 1 and older.
The Africa Centres for Disease Control and Prevention estimates that around 10 million vaccine doses are needed to bring the outbreaks under control (SN: 9/19/24).
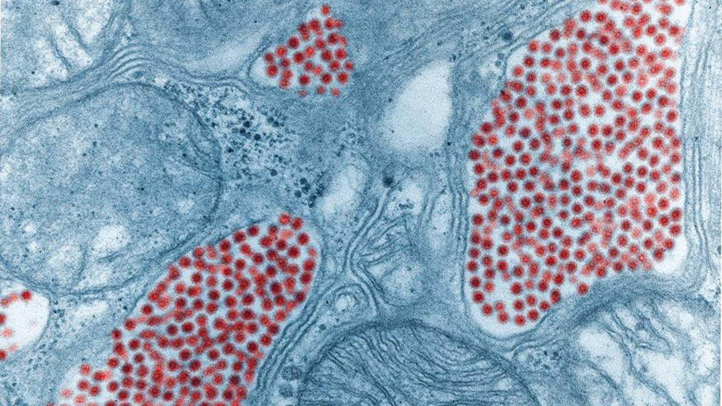
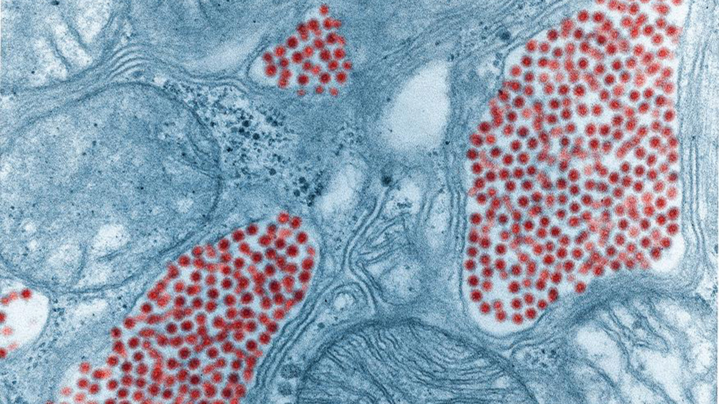
Bird flu made the jump to cows
The H5N1 outbreak that began spreading globally in 2021 continued to infect myriad wild birds, poultry and mammals this year (SN: 2/24/24, p. 14). And in late March, the virus jumped to an unexpected new animal: dairy cows.
The ongoing outbreak in U.S. dairy cows has hit more than 700 herds in 16 states, with infections causing symptoms such as reduced milk production and lack of appetite. The virus infects cows’ mammary glands, and studies suggest that contaminated milking equipment helps spread H5N1 from cow to cow (SN: 8/24/24, p. 9). High temperatures kill the virus, so pasteurized milk and cooked beef are safe to eat.

As of early December, 58 farm workers have tested positive for the virus after exposure to infected livestock. In August, one person in Missouri contracted the virus despite having no contact with cows or poultry. Another person living in the same household showed signs of a past infection, the U.S. Centers for Disease Control and Prevention announced in October. The finding hints that the virus can sometimes, but rarely, spread person-to-person through very close contact. Researchers are keeping a close eye on whether new mutations arise that could help the virus spread easily among people.
Polio reared its head in Gaza
In September, the WHO launched a massive polio vaccination campaign across Gaza after wastewater samples tested positive for poliovirus and an infected 10-month-old boy developed paralysis in his left leg. Because paralysis from polio is rare, a single case suggests hundreds of other infections. Israel’s military offensive against Hamas has destroyed much of Gaza’s health care and water treatment infrastructure, which has likely helped the virus to spread. Overall, 556,774 kids were fully vaccinated, a coverage rate of 94 percent, the WHO reported in November. Intense bombardment and mass displacement in northern Gaza cut off access to many areas, leaving up to 10,000 children there not fully vaccinated.

Oropouche fever became deadly
The Pan American Health Organization issued a health alert in August after an increase of confirmed cases of Oropouche fever. The virus that causes the disease — which is spread via insect bites and typically presents flulike symptoms — hit new parts of South America and the Caribbean. Guyana, the Dominican Republic and Cuba all reported their first-ever cases, as did some Brazilian states. It also became deadly for the first time, causing two fatalities and a stillbirth in Brazil this summer (SN: 11/30/24, p. 15).

Triple E hit the East Coast
Health officials recorded 16 cases of eastern equine encephalitis, or Triple E, across eight states along the U.S. East Coast. This mosquito-borne viral infection pops up every year in eastern and Gulf Coast states. The virus normally circulates in waterfowl, and occasionally makes the jump to horses and people. Most human cases go undetected because most people don’t develop symptoms. Those who do might have fever, body aches and joint pain. But in about 5 percent of cases, the virus invades the central nervous system, causing headaches, seizures or behavioral changes. About a third of people with severe disease die. All reported cases in 2024 were neuroinvasive, and three people died.
