Collection
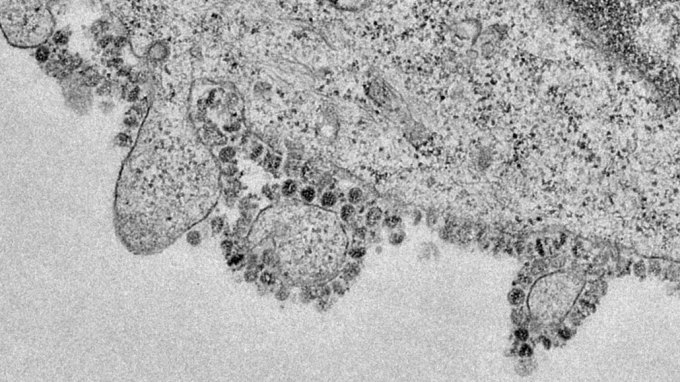
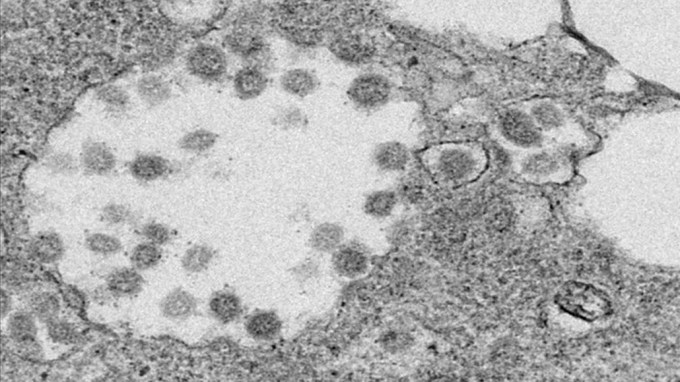
The Coronavirus Pandemic
The latest research and developments on COVID-19 and SARS-CoV-2, the novel coronavirus behind the 2020 global pandemic.
We summarize the week's scientific breakthroughs every Thursday.
The latest research and developments on COVID-19 and SARS-CoV-2, the novel coronavirus behind the 2020 global pandemic.
We summarize the week's scientific breakthroughs every Thursday.