SARS and the new coronavirus target the same cellular lock to infect cells
Lab studies are revealing more details about the novel pathogen

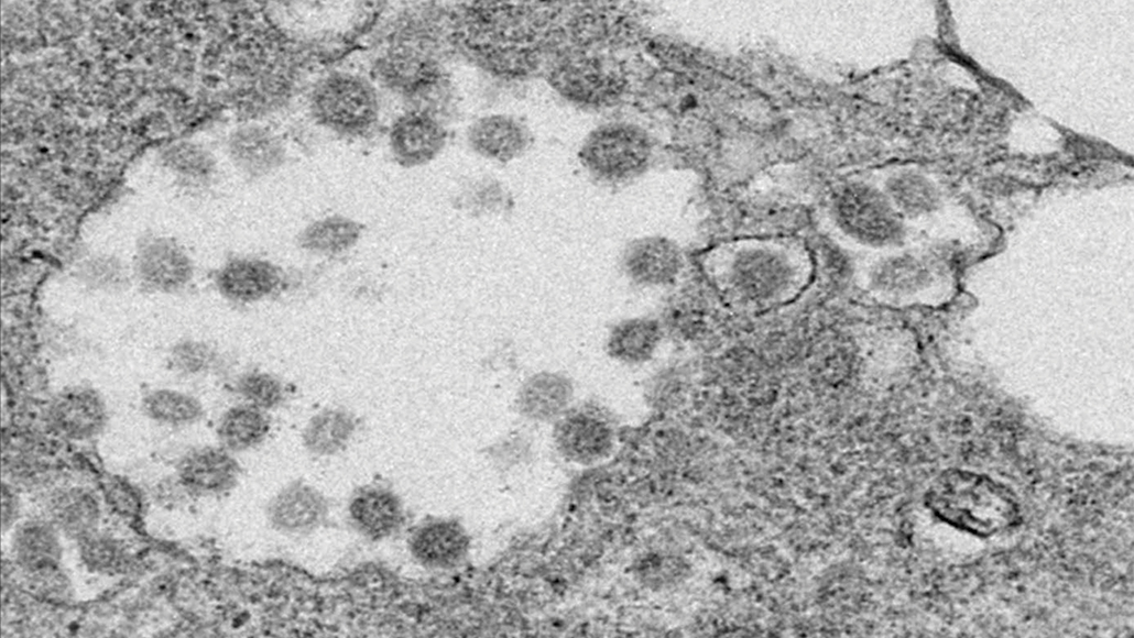
The new coronavirus (small circles shown in this electron micrograph) spreading in China and several other countries uses the same cellular protein as SARS to gain access to cells.
P. Zhou et al/Nature 2020 (CC BY 4.0)