Health & Medicine

  1. Health & Medicine

    You can help fight the coronavirus. All you need is a computer

    With Folding@home, people can donate computing time on their home computers to the search for a chemical Achilles’ heel in the coronavirus.

    By
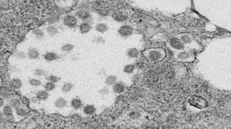
  2. Health & Medicine

    When will the coronavirus pandemic and social distancing end?

    Social distancing may have to continue for months to prevent a resurgence of COVID-19. Wider testing and isolation of cases could ease such measures.

    By
  3. Health & Medicine

    Here’s where bacteria live on your tongue cells

    Scientists labeled bacteria from tongue scrapings with fluorescent probes to glimpse at how the microbes structure their communities.

    By
  4. Health & Medicine

    The number of steps per day, not speed, is linked to mortality rate

    Researchers report an association between the total number of steps a person takes each day and the rate of death from any cause.

    By
  5. Health & Medicine

    A tooth-enamel protein is found in eyes with a common form of macular degeneration

    Researchers linked a tooth-enamel protein with calcium deposits in eyes suffering ‘dry’ AMD, which could lead to treatments for the vision disorder.

    By
  6. Health & Medicine

    Why some heart patients may be especially vulnerable to COVID-19

    Researchers don’t yet know if the way the coronavirus enters cells may have something to do with the risks to the heart.

    By
  7. Health & Medicine

    Young adults can face severe cases of COVID-19, too

    While risk of having a severe case of COVID-19 rises with age, younger adults are also landing in the hospital and ICU, new U.S. statistics show.

    By
  8. Health & Medicine

    HIV drugs didn’t work as a coronavirus treatment in a clinical trial

    Antiviral HIV drugs “showed no benefit” when given to patients severely ill with COVID-19.

    By
  9. Health & Medicine

    How parents and kids can stay safe and sane during the coronavirus pandemic

    Infectious disease experts weigh in on playdates, playgrounds and other parenting questions.

    By and
  10. Health & Medicine

    50 years ago, scientists were trying to get a grip on Lassa fever

    In 1970, scientists were on the trail of a deadly new virus. Fifty years later, a vaccine is just now being tested in people.

    By
  11. Health & Medicine

    People who didn’t know they had COVID-19 drove its spread in China

    A new study suggests that mild cases, in which people have no symptoms or don’t get sick enough to go to a doctor, are fueling the coronavirus pandemic.

    By
  12. Health & Medicine

    Coronavirus is most contagious before and during the first week of symptoms

    As major efforts to contain the COVID-19 pandemic go into effect around the globe, researchers are figuring out just when patients are most contagious.

    By