News

  1. Health & Medicine

    Some countries have eliminated malaria, but cases are growing elsewhere

    Egypt was added to the list of malaria-free places in 2024, but climate change, conflict and other threats could increase cases especially in Africa.

    By
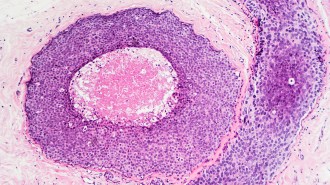
  2. Health & Medicine

    During an allergic response, some immune cells digest others

    Mast cells lure and trap other immune cells during allergic reactions, using their compounds to increase inflammation in a process dubbed nexocytosis

    By
  3. Archaeology

    The oldest known ritual chamber in the Middle East has been found

    Engravings and other evidence suggest ancient humans attended religious ceremonies in the cave as early as 37,000 years ago.

    By
  4. Health & Medicine

    A squid-inspired medical device could reduce the need for needles

    The device, which directs a liquid by mimicking squids’ high-pressure jets, could provide alternative delivery methods for injectable drugs.

    By
  5. Health & Medicine

    Proposed time limits on anesthesia may have jeopardized patient safety

    Blue Cross Blue Shield’s now rescinded plan to put time limits on anesthesia put a spotlight on a poorly understood profession.

    By
  6. Physics

    Notre Dame is reopening. What does that mean for its acoustics? 

    Researcher Brian Katz is studying the acoustics of the Paris cathedral and how it’s been altered throughout the centuries.

    By
  7. Astronomy

    Astronomers see the astrosphere of a sunlike star for the first time

    Finding a bubble of hot gas blown by the stellar wind from a young star gives researchers a peek at what our sun was like when it was young.

    By
  8. Health & Medicine

    How the weight loss drug tirzepatide is also helping heart failure patients

    Data continue to show that tirzepatide, called Mounjaro for type 2 diabetes and Zepbound for weight loss, is safe and effective, but side effects remain.

    By
  9. Animals

    Climate stress may undermine male spiders’ romantic gift giving

    Even spider love lives show an effect of climate uncertainty: Stressed males may offer a bit of silk-wrapped junk rather than a tasty insect treat.

    By
  10. Space

    A spacecraft duo will fly in formation to create artificial solar eclipses

    ESA’s Proba-3 mission will use one satellite to block out the sun for another satellite, bringing the sun’s middle corona into new focus.

    By
  11. Humans

    Dietary evidence bolsters Clovis hunters’ reputation as mammoth killers

    Mammoths made up as much as 40 percent of the ancient North Americans’ diet, a chemical analysis of human remains reveals.

    By
  12. Life

    Trees are failing to adapt to climate change. Losing fungi partners may be why

    Certain fungi give trees nutrients and water, but heat and drought are putting both at risk.

    By