Two new books investigate why it’s so hard to define life
What Is Life? and Life’s Edge explore what it means to be alive
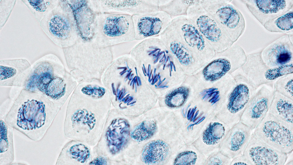
Reproduction — from how cells (like these plant cells) divide to animals’ clever mating strategies — is one of the many hallmarks of life described in two new books.
alanphillips/Getty Images Plus
- More than 2 years ago
If everything in the world had to be divided into two bins — one for living things and one for nonliving — the task might seem easy. Trees, bacteria and humans are alive; rocks, smartphones and rainfall are not.
But in some cases, the distinction is murky. Where might the coronavirus responsible for the ongoing COVID-19 pandemic belong? Viruses have their own genetic material and can evolve. But without a host cell to infect, a virus can’t make more copies of itself. And a virus doesn’t eat food for energy, instead stealing energy from its host. So is a virus a form of life? What makes something alive?
Two new books tackle that last question. What Is Life? by geneticist Paul Nurse and Life’s Edge by science journalist Carl Zimmer explore how scientists have come to understand life and probe some of the entities that push its limits.
“Asking biologists about what it means for something to be alive makes for an awkward conversation,” Zimmer writes. While scientists have spent centuries contemplating the question, there is still no universally accepted definition.
In What Is Life? Nurse guides readers through five big scientific ideas that he argues help define living things: cells, genes, evolution, life as chemistry and life as information. He also examines how studying these aspects of life has helped us take better care of human life, such as developing heart surgery or genetically modified crops that make food more widely available. As might be expected for someone who won a Nobel Prize in physiology or medicine in 2001 for discovering how cells control growth and division (SN: 10/10/01), Nurse’s ideas are rooted in the nuances of life as seen within a cell.
What Is Life?
Paul Nurse
W.W. Norton & Co, $20
Alongside personal accounts of the discoveries that inspired and guided his own career, Nurse chronicles how researchers initially revealed the cell, “biology’s atom,” and uncovered that strings of genetic molecules hold the instructions to make cells work.
For readers familiar with this history, the book’s first few chapters might feel a little slow. Still, it’s spectacular to see the concepts come together as Nurse describes the chemistry of life and how organisms manage information within their cells and from the outside world. He brings cells to life in a way that a textbook drawing can’t. If one could peek inside a cell, for instance, “your senses would be assaulted by a boiling tumult of chemical activities,” he writes. Some of this activity comes from a cell’s enzymes, which can complete thousands to millions of precise chemical reactions per second.
Nurse shares his wonder as he contemplates evolution and our “deep relatedness to other living things,” something that struck him while coming face-to-face with a gorilla — a species that shares about 96 percent of its DNA with humans — while on a trip in Uganda. “As his intelligent, deep brown eyes locked my gaze, I saw many aspects of my humanity reflected back at me,” Nurse writes.
Sign up for our newsletter
We summarize the week's scientific breakthroughs every Thursday.
Life’s Edge covers similar territory, but goes beyond the inner workings of cells. From the struggle to define when life begins and ends to the hunt for how life got started, the book offers an engaging, in-depth look at some of biology’s toughest questions.
Zimmer assesses the common hallmarks of living things — reproduction, intelligence, maintaining consistent body conditions, evolution and metabolism — and what those look like using extreme examples from nature. Though the multiheaded slime mold (Physarum polycephalum) lacks a brain, for example, the organism can make decisions that help it navigate mazes to find food. After a python swallows a meal, the snake’s metabolic rate spikes, rising to 45 times as high as its resting metabolic rate to break down the prey. A person’s metabolism, on the other hand, increases to only about 1.5 times its resting rate after eating.
Life’s Edge
Carl Zimmer
Dutton, $28
Once he sets the stage with these hallmarks, Zimmer delves into some scientific missteps researchers have taken while exploring the intricacies of life. A gelatinous substance found in the Atlantic Ocean in the late 1800s and thought to be a simple life-form actually turned out to be inorganic material.
Readers also get introduced to intriguing exceptions to the rules, entities lurking at the edge of life. Red blood cells don’t carry their own genetic material like other cells do. Since they therefore can’t make proteins or divide into new cells, red blood cells might not be considered alive.
The coronavirus is another one of those lurkers. Nurse and Zimmer both leave unanswered whether viruses should be considered alive. Nurse argues that perhaps viruses straddle the line, living when inside a cell but otherwise nonliving. Regardless of how we classify viruses, Zimmer argues, they have an enormous impact on the living world, not just by causing disease in people but also by killing bacteria and keeping their populations in check or carrying genes to new hosts. “If viruses are lifeless,” he writes, “then lifelessness is stitched into our being.”
Buy Life’s Edge and What Is Life? from Bookshop.org. Science News is a Bookshop.org affiliate and will earn a commission on purchases made from links in this article.

