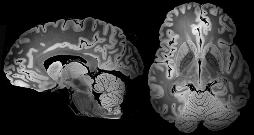
A 100-hour MRI scan captured the most detailed look yet at a whole human brain
A device recently approved by the U.S. FDA made extremely precise images of a postmortem sample
 
		CLOSE-UP A 3-D view of the entire human brain, taken with a powerful 7 Tesla MRI and shown here from two angles, could reveal new details on structures in the mysterious organ.
B.L. Edlow et al/bioRxiv.org 2019
 
			 
			 
			 
			 
			 
			