Refined ‘three-parent-baby’ procedure improves chances for healthy infant

Transferring cell nuclei hours after fertilization reduces risk of passing on faulty mitochondria

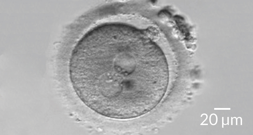
egg

REPLACEMENT REFINED  Researchers have improved a technique that transfers pronuclei (round craters, center) from an egg with diseased mitochondria to a donor egg with healthy mitochondria. 

L.A. Hyslop et al/Nature 2016

Improvements in a technique for making “three-parent babies” could reduce the risk of passing on faulty mitochondria, the energy-producing organelles in cells.

Less than 2 percent of mitochondria were defective in most human embryos created from this refined “pronuclear transplantation” procedure, researchers report online June 8 in Nature.

Pronuclear transplantation is one of two ways to transfer nuclear DNA from a mother’s egg that has faulty mitochondria to a donor egg with healthy mitochondria. After fertilization, the mother’s and father’s chromosomes don’t merge but are encased in separate membranes inside the mother’s egg. In pronuclear transplantation, researchers remove both of these DNA packages, known as pronuclei, and inject them into an empty donor egg.

Any resulting children would inherit DNA from three parents: most from their mother and father, with a small amount of mitochondrial DNA from the egg donor. DNA transplant techniques may prevent mothers from passing mitochondrial diseases to their children. Such diseases, which result from mutations in mitochondrial DNA, particularly affect energy-hungry organs, including the brain and muscles.

Last month, researchers reported that even small amounts of defective mitochondria carried into the healthy egg might propagate and negate the effect of the therapy (SN Online: 5/19/16).

In the new study, flash-freezing the mother’s egg, removing pronuclei soon after they form (about eight hours after fertilization) and other refinements greatly reduced the amount of defective mitochondria transplanted into donor eggs. Of embryos created, 79 percent carried less than 2 percent of defective mitochondria, report reproductive biologist Mary Herbert of the Wellcome Trust Centre for Mitochondrial Research in Newcastle upon Tyne, England, and colleagues.

That decrease in defective mitochondria doesn’t eliminate the risk of disease resurgence, but greatly reduces it, says Herbert. “The focus of our current research is to get that carryover as close to zero as we possibly can.”

Tina Hesman Saey is the senior staff writer and reports on molecular biology. She has a Ph.D. in molecular genetics from Washington University in St. Louis and a master’s degree in science journalism from Boston University.