Senior writer Tina Hesman Saey is a geneticist-turned-science writer who covers all things microscopic and a few too big to be viewed under a microscope. She is an honors graduate of the University of Nebraska-Lincoln where she did research on tobacco plants and ethanol-producing bacteria. She spent a year as a Fulbright scholar at the Georg-August University in Göttingen, Germany, studying microbiology and traveling. Her work on how yeast turn on and off one gene earned her a Ph.D. in molecular genetics at Washington University in St. Louis. Tina then rounded out her degree collection with a master’s in science journalism from Boston University. She interned at the Dallas Morning News and Science News before returning to St. Louis to cover biotechnology, genetics and medical science for the St. Louis Post-Dispatch. After a seven year stint as a newspaper reporter, she returned to Science News. Her work has been honored by the National Academies of Sciences, Engineering and Medicine, the Endocrine Society, the Genetics Society of America and by journalism organizations.
Trustworthy journalism comes at a price.
Scientists and journalists share a core belief in questioning, observing and verifying to reach the truth. Science News reports on crucial research and discovery across science disciplines. We need your financial support to make it happen – every contribution makes a difference.
All Stories by Tina Hesman Saey
-
GeneticsA mutation may explain the sudden rise in birth defects from Zika
A mutation in a protein that helps Zika exit cells may play a big role in microcephaly.
-
NeuroscienceGene variant linked to Alzheimer’s disease is a triple threat
A genetic risk factor for Alzheimer’s disease works on multiple aspects of the disease, researchers report.
-
GeneticsIn a first, human embryos edited to explore gene function
In groundbreaking research, CRISPR/Cas9 used to study human development for the first time.
-
LifeThis biochemist brews a wild beer
Wild beer studies are teaching scientists and brewers about the tropical fruit smell and sour taste of success.
-
Health & MedicineMicrobes hobble a widely used chemo drug
Bacteria associated with cancer cells can inactivate a chemotherapy drug.
-
GeneticsMuscle pain in people on statins may have a genetic link
Many people stop taking cholesterol drugs because of aches, but it has been unclear if the drugs are at fault.
-
LifeWild yeasts are brewing up batches of trendy beers
Wild beer studies are teaching scientists and brewers about the tropical fruit smell and sour taste of success.
-
LifeEmbryos kill off male tissue to become female
Female embryos actively dismantle male reproductive tissue, a textbook-challenging study suggests.
-
GeneticsGene editing creates virus-free piglets
Pigs engineered to lack infectious viruses may one day produce transplant organs.
-
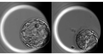
GeneticsGene editing of human embryos gets rid of a mutation that causes heart failure
Gene editing of human embryos can efficiently repair a gene defect without making new mistakes.
-
SpacePotential ingredient for alien life found on Titan
The atmosphere and oceans of Saturn’s moon Titan contain vinyl cyanide, a compound predicted to form cell-like bubbles.
-
GeneticsTardigrades aren’t champion gene swappers after all
Genetic studies reveal more secrets of the bizarre creatures known as tardigrades.