This week in Zika: New mouse model, virus vs. placenta, nerve insulation loss
E. Otwell
When Zika virus burst into the mainstream last year, scientists had no idea what they were up against.
They knew that Zika was a relative of the dengue and West Nile viruses, spread via the bite of infected mosquitoes. And they thought that it caused only mild symptoms (if any at all). But now there’s “a strong scientific consensus” that Zika infection can cause devastating neurological disorders, including microcephaly, a birth defect that leaves babies with abnormally small heads.
Still, much remains unknown. How does the virus pass from a pregnant woman to her fetus? What spectrum of maladies could the infection spark? (It could be huge.)
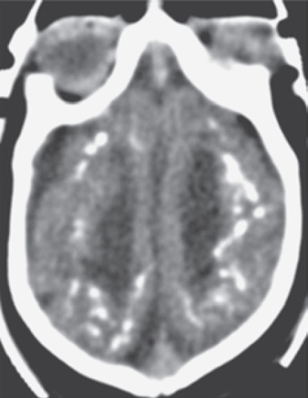
Signs of damage
Inside the brain of this infant born with microcephaly (and with suspected Zika virus infection), researchers spotted bright white spots and streaks of calcifications, areas that represent damaged tissue. Researchers found similar damage in the 22 other microcephalic infants examined.

Those questions and others (like how to fight Zika with vaccines or antiviral drugs) have fired up researchers around the world. Week after week, they’ve been grinding out new studies — and bit by bit, they’re unraveling Zika’s mysterious shroud. Among the latest advancements and discoveries this past week:
- Scientists can now better study Zika in mice — specifically, mice genetically engineered to lack part of their immune system. This makes the mice susceptible to Zika virus infection, researchers report April 5 in Cell Host & Microbe. Theoretically, scientists could use these mice to screen anti-Zika drugs and vaccines.
- Zika virus doesn’t infect a layer of human placental cells called trophoblasts. Scientists had thought these cells might let Zika sneak through the placenta to the fetus, but that idea’s been dashed, researchers say in a different paper also published April 5 in Cell Host & Microbe.
- Zika infection may throw a wrench in babies’ brain development (rather than outright destroying cells). CT scans of 23 infants with microcephaly (all suspected of having Zika infection) reveal widespread lack of the fatty tissue that insulates nerve cells, researchers report April 6 in the New England Journal of Medicine. Without this insulation, messages can’t zip quickly between brain cells.
Stay tuned for periodic updates on the latest Zika research.