Here’s a rare way that an Alzheimer’s protein can spread
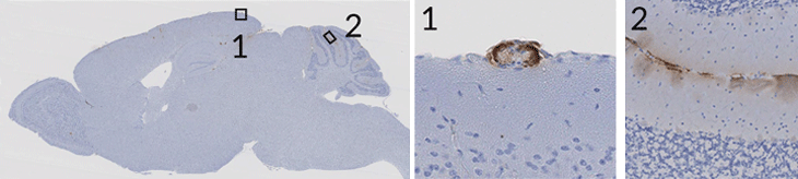
When injected, amyloid-beta from vials of growth hormone built up in mice brains
BRAIN BUILDUP Amyloid-beta (illustrated in brown) from vials of contaminated growth hormone spread in the brains of mice, researchers found.
National Institute on Aging/NIH
