Derailing a Disease: Stem cells slow dogs’ muscular dystrophy
- More than 2 years ago
Muscle-producing stem cells injected into dogs with the equivalent of Duchenne muscular dystrophy significantly slowed the disease’s progression, researchers report.

In people who have the incurable disease, abbreviated as DMD, muscles rapidly degenerate, and patients typically die in their late teens or early adulthood. Although steroid injections and other therapies can ease some of the disease’s symptoms, no treatment slows DMD’s progression.
Ten years ago, Giulio Cossu of the San Raffaele Scientific Institute in Milan, Italy, and his colleagues discovered muscle-producing stem cells in the walls of blood vessels. When the researchers collected these cells from healthy mice and then injected the cells into mice carrying a genetic mutation that causes muscular dystrophy, disease progression slowed, as measured in several tests. But because mice don’t show the same symptoms as people do, the scientists needed to use a different animal to test whether stem cells might be effective against DMD in people.
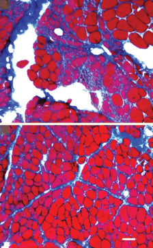
In new work, Cossu’s team studied golden retrievers that had a natural canine version of the DMD-causing mutation. These animals experience rapid muscular degeneration similar to that in people with the disease.
Six dogs received five monthly injections of stem cells from a healthy donor dog. The treatment started either at 1 month or 5 months of age, after symptoms had appeared. All these dogs received drugs to prevent tissue rejection.
Four other dogs had their stem cells removed and the disease-causing gene replaced with a healthy one. Each dog then received its own, altered cells in five monthly injections starting at 4 months of age. With this strategy, the dogs didn’t need antirejection drugs.
Cossu and his colleagues compared three untreated dogs with the animals receiving each of the stem cell procedures. Though the disease affected each animal differently, by 8 months of age, untreated animals typically could no longer walk, and they all died a year or so after birth.
The dogs that received healthy dogs’ stem cells did much better. One of the three dogs that received donor cells 1 month after birth could still walk well at 13 months. Two of the three dogs given donor cells later in their lives were more mobile at 10 months of age than they had been when treatment started.
Dogs that received their own cells with corrected genes also showed slower disease progression than did the untreated dogs but not as dramatic an improvement as did the dogs that received donor cells.
Cossu says that the difference might relate to the gene put into the stem cells. Because the DMD-related gene is so long that it’s difficult to get into cells, the researchers worked with a shortened form of the healthy gene. This truncated version might not offer all the benefits of a gene from a healthy donor dog.
Cossu’s team reports its results online for the Nov. 30 Nature.
Jeffrey Chamberlain of the University of Washington in Seattle, who studies various forms of muscular dystrophy, warns that the research has a long way to go before yielding a treatment for people with DMD. Nevertheless, he calls the findings “a significant breakthrough.”
He says, “Any disease that involves significant muscle wasting could be a candidate for this approach.”