Little Mind Benders
Parasites that sneak into the brain may alter your behavior and health
Imagining tiny creatures infiltrating human brains is creepy enough. But Marion Vittecoq knows she has been invaded. Her inner companions may be just hanging out — or they may be subtly changing her personality, manipulating her behavior or altering her risk of disease. Yet she doesn’t sound particularly upset.




Not once in the course of a phone conversation and many e-mails did Vittecoq recommend wearing tinfoil hats or mention mind control by the CIA, the United Nations or little green men beaming rays from the moons of Uranus. She studies the ecology of parasites, especially the one-celled Toxoplasma gondii, which coincidentally is the creature that has invaded her brain.
She doesn’t see it as an extra-ordinary intrusion. The parasite has wormed its way into an estimated one-third of people on the planet. In France, where Vittecoq works at both a CNRS national research lab in Montpellier and the Tour du Valat research center in Arles, nearly one-third to about one-half of adults carry hitchhiking T. gondii. CNRS research colleague Frédéric Thomas is also infected, and also doesn’t fret about it.
In the United States, almost one in four residents over the age of 12 has the infection. In other parts of the world, rates are as high as 95 percent. An unlucky minority of these infected people become quite ill. Most, however, don’t even know that their muscles and brains carry the parasite.
What exactly T. gondii is doing while it lurks in so many people is an important question for public health. It’s also an alluringly spooky question. “Where science meets science fiction” is how Michael Dickinson of the University of Washington in Seattle describes studies of parasites that hack into their hosts’ nervous systems. The Journal of Experimental Biology, where Dickinson serves as an editor, dedicated its Jan. 1 issue to this emerging field, dubbed “neuroparasitology.” In those pages and elsewhere, clues to T. gondii’s bizarre biology are emerging. And growing evidence suggests that the hidden parasite may have visible effects.
Studies comparing the infected and the noninfected raise the possibility that the parasite tweaks a person’s personality or ups the risk of suicide attempts, brain cancer and schizophrenia. Studies in people even report links between T. gondii and traffic accidents, greater odds of having sons than daughters, extra height and unusual opinions about the smell of urine.
If so much of what people do turns out to have a touch of parasite about it, then the notion of normal human behavior may have to change. What is “routine” for people might need to encompass not just the activities of a Homo sapiens by itself, but also the doings of Homo sapiens as a walking ecosystem where microbes and mammal intermingle.
Meet the parasite
Ending up in this walking ecosystem is a bit of bad luck for T. gondii.
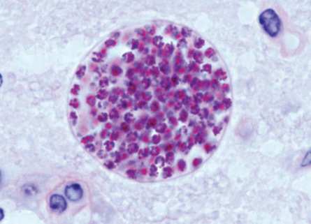
The organism is a cat parasite and can have sex only within cells in the gut of some kind of feline. Matings there produce offspring protected in toughened structures called oocysts, which the cat excretes into soil and water, and which ready themselves within a few days to start a new generation. Oocysts, like space capsules, protect the cells tucked within for months. To flourish, though, parasites need the temperature-controlled, safe, nutrient-rich paradise of a live warm-blooded vertebrate.
If a cat swallows one of the infectious T. gondii oocysts, hurray for the parasite. The sexual phase can repeat. But if, say, a person takes in an oocyst, from contaminated food or from a flawed litter box–cleaning technique, T. gondii can still cope. It changes into a form that repeatedly clones itself, known as a tachy-zoite. “It’s a lovely banana-shaped organism, and it glides,” says parasitologist Christopher Hunter of the School of Veterinary Medicine at the University of Pennsylvania.
Tachyzoites and other invading T. gondii can bring a human several weeks of low-grade, achy, flulike discomfort, as well as eye infections that can scar the retina. New infections in mothers-to-be can raise the risk of miscarriages as well as of developmental damage to the baby. People with suppressed immune systems are especially vulnerable and can die from untreated infections.
A healthy human immune system doesn’t necessarily eliminate the banana-clone army but typically drives it to retreat. Under full attack, the parasite wraps itself in tiny bomb-shelter cysts, mostly in the muscle and brain tissues of its host. (Not many parasites can safecrack their way into the well-protected brain, but once there, they enjoy a respite from the full strength of the host immune system.)
Inside these cysts, T. gondii keep the cloning, and thus the infection, going in slow motion for years, ready to jump to any new host if given a chance. These cysts are the T. gondii form accused of mind control and other mind-jacking stunts in affected humans.
People are far from the only noncats where T. gondii can make do. The parasite can infect grizzly bears, bison, chinchillas, elephants, domestic goats and sheep, koalas, New World monkeys, barred owls, pigeons, pronghorn, sea lions, wombats and many more species. Such a vast range of immune systems to evade shows the virtuosity of the parasites. “How do they do that?” Hunter marvels.
Part of the answer, he says, is a Swiss army knife approach to breaking through vertebrate immune defenses. T. gondii has accumulated plenty of molecular tools, such as proteins to inject into host cells, Hunter noted in November in Nature Reviews Microbiology. Regardless of what bird or mammal swallows a parasite, T. gondii probably has something in its repertoire that will help it make a new home. “If I eat a pig, I get infected,” Hunter says. “If the pig eats me, the pig gets infected.”
Masters of lurking
Whether Toxoplasma cysts manipulate pigs or parasitologists is still an open question. But research on the possibility was inspired in part by the very odd things that lurking cysts do to rats.
Biologists first discovered T. gondii in the early 1900s, but for decades researchers largely dismissed the parasite’s stealthy cysts as inactive, irrelevant grit in the brain. It wasn’t until the mid-1990s that several lines of research took off exploring how slow-going infections might be very relevant. Joanne P. Webster, now at Imperial College London, and her colleagues have since built a case that rats with a brainful of supposedly harmless cysts behave almost as if trying to become cat food.
A pounce and gulp from a cat is about the best thing that can happen to a parasite, but cat horror runs deep in rats. Even lab rats whose ancestors have not encountered cats for hundreds of generations normally avoid a catty scent.
When infected with T. gondii, however, rats became more active, a risk factor in itself for encountering a predator. They largely lost their reluctance to venture into test areas reeking of cat urine, and some of the infected rats actually spent more time in these urine-perfumed areas than in untainted refuges, Webster and colleagues reported in 2000. The parasite may possess an evolutionary trick that turns fear into a fatal attraction.
This upside-down behavior doesn’t come from a general interest in excretions. Urine from rabbits, as useless a species for parasite sex as rats themselves, doesn’t hold noticeable allure. Nor does urine from mink and dogs, other rat predators of limited benefit to the parasite.
What’s more, rat brains don’t malfunction in these ways when infected with just any brain parasite. Rats dosed with Leptospira, which doesn’t need cat innards for sex, aren’t driven to reckless activity by a whiff of cat.
Toxoplasma cysts do something fairly specific, says Robert Sapolsky of Stanford University. Rats infected with T. gondii still learn to avoid scary things, such as lab-generated electric shocks to the feet, he and his colleagues have found. And in 2011 in PLOS ONE, the team reported that, at the scent of a cat, the activity in the cyst-riddled brain of a male rat partially shifts from a nerve pathway that typically responds to scary scents to a chain of nerves that often sizzles at the scent of a female. The parasites seem to be rewiring “oh no!” into “oh, honey!”
Sapolsky wonders, too, about infected females, who also show interest in cat odors. “My bet,” he says, “is that Toxo knows how to make cat odors smell like babies to females.”
Neurochemical work is yielding clues to how a one-celled parasite creates such subtle effects. In parasite-manipulation studies, Webster discovered that infected rodents were less likely to get stupid about cats if dosed with a drug called haloperidol. The drug blocks a portion of brain cells’ molecular docking stations for the chemical messenger dopamine. T. gondii, Webster hypothesized, may be brainwashing rats with excess dopamine.
Unexpected evidence for this hypothesis turned up in 2009, as researchers reveled in the recently described genome of T. gondii. Though not thinking about brain messenger chemicals at the time (Toxo doesn’t have a brain), molecular parasitologist Glenn McConkey of the University of Leeds in England and his colleagues discovered genetic instructions for the manufacture of an enzyme that animals use to make dopamine.
Before the discovery, no one had imagined that a single-celled creature might have such a genetic tool. But the gene fits the scenario of T. gondii changing the brain’s usual supply of transmitter compounds.
McConkey, Webster and colleagues reported more evidence for the hypothesis in 2011. Brain tissue in infected rodents abounds in dopamine, as do parasite cysts growing in lab dishes full of rodent nerve cells.
Brain changer
If T. gondii cysts can manipulate rats so deftly, biologists wonder what the parasites might do inside a human brain.
Longtime T. gondii researcher Jaroslav Flegr of Charles University in Prague has gone so far as to test whether cysts can make people more favorably inclined toward the odor of domestic cat urine. For men: yes, a bit, he and his colleagues reported in 2011. For infected women, the researchers discerned the opposite effect: a greater distaste. (In the tests, Flegr diluted the urine so none of the student volunteers could guess what they were sniffing.)
It would be a stretch to suggest that evolution might have favored parasite adaptations that do no more than make infected people like cat urine. Such a shift probably would not help the parasite find a preferred host, as it would not greatly increase the chances of cats dining on people. More likely, any voodoo that T. gondii exercises in the human brain is a side effect of capacities that benefit the parasite in other hosts.
Arguably, the eeriest of such effects in humans, if it proves real, is personality change caused by cysts that settle in for life and then seep chemicals like dopamine into the brain. Flegr, who has been administering personality tests to infected people for almost two decades, first became curious about the possibility when he discovered that T. gondii lurks in him. He devised his first questionnaire on parasite-induced trends by reflecting on what puzzled him about his own personality.
To keep people from gaming his Toxoplasma questions, Flegr melded them with a personality test widely used at the time. The questions he made up didn’t produce any interesting results, but the supposed distracter questions did. Since those first surveys, he has turned to a commonly used questionnaire that evaluates five broad traits. The new tests, he says, suggest that infected people tend to be more extroverted but less conscientious than people without the lurkers.
“It’s a small effect,” Flegr says. T. gondii infection explains only a tiny portion of the personality differences he has measured among people.
A much stronger and more worrying connection concerns a person’s risk for traffic accidents. Infected people have more than double the accident risk of noninfected people, he says. Parasite infection appears to slow reaction time.
Over the years, Flegr has also tested for links between T. gondii and lack of diplomacy, attitudes toward hypnosis, reduced fear of snakes and big spiders, and inclination to (metaphorically) stir up hornets’ nests. In all his testing, he attends to any small leanings he may find. Like any evolutionary biologist, Flegr knows that slight differences can eventually have noticeable effects.
Sapolsky notes that so far Flegr and his collaborators have pushed forward this type of personality research largely on their own. “Flegr’s findings are fascinating, immensely provocative,” Sapolsky says. “In general, the effects seem quite subtle, which means it is particularly important for them to be replicated.”
Recently, Teodor Postolache of the University of Maryland School of Medicine in Baltimore and his colleagues have been following up with a version of the work. Postolache won’t be ready to discuss his results until at least the spring, he says. But he will say that his investigations add an important step: screening out potential study volunteers with mental troubles such as depression or personality disorders.
Parasite perils
Postolache and others suspect T. gondii parasites may cause changes more serious than subtle personality shifts, possibly undermining health in sneaky, long-term ways. Infected women have a higher risk of self-directed violence, including attempted and completed suicide, than do women without the parasite, Postolache’s team reported in November in JAMA Psychiatry. Postolache’s earlier studies had suggested a boosted risk with infection, but this new analysis of nearly 46,000 women in Denmark had the unusual strength of establishing which women were infected before the violence occurred. When Postolache isolated the records for women with no previous history of mental health problems, the link got even stronger. He is careful to offer a reminder, though, that finding a link is not the same as identifying a cause.
Schizophrenia risks may also increase with infection, says Robert Yolken of Johns Hopkins Children’s Center in Baltimore. He suspects that multiple pathogens can push a beleaguered brain toward the disorder. Like the virus herpes simplex type 1, brain invader T. gondii fits the profile of a potential contributor.
T. gondii spends years among brain cells. And Yolken says, “it’s not totally latent — it’s doing things.” The cysts may boost dopamine in unnatural ways; the haloperidol used in Webster’s rat experiment, after all, is prescribed in people for schizophrenia. Or, Yolken says, inflammation caused by cysts in the brain could disrupt behavior.
Whatever the mechanism, the link between parasite infection and schizophrenia looks moderately strong based on 38 studies, Yolken and his colleagues concluded last May in Schizophrenia Bulletin.
One of the earliest studies reviewed by Yolken, as well as E. Fuller Torrey of the Stanley Medical Research Institute in Chevy Chase, Md., and another colleague, dates from 1956. That era’s swell of interest in pathogens and mental illness later waned as researchers looked instead to human genetics for the main cause of schizophrenia. But now that recent studies have turned up only weak links between particular genes and schizophrenia, Yolken says interest in nongenetic risks is rising again. Human genes do matter, he says, but there must be other menaces at work.
T. gondii infection is also in the parade of menaces linked to brain cancer — though feline companionship, not the infection itself, receives most of the attention.
Rates of T. gondii infection tracked with higher overall rates of brain cancer across 37 countries, Thomas and colleagues reported last February in Biology Letters. Looking just within France, a similar pattern shows up, Vittecoq, Thomas and their team reported the next month in Infection, Genetics and Evolution. Both papers were intended to encourage a deeper look at the question of parasites and disease, the researchers say.
Neither paper blamed cats. But together, the publications raised concern among cat owners. Though infectious oocysts can’t push through unbroken human skin, parasitologists advise people to wear gloves and wash their hands thoroughly when cleaning litter boxes.
The wave of fur-related anxiety prompted Cancer Research UK’s blog to emphasize that there is no evidence that the presence of cats causes brain cancer. An August 2012 comment in Biology Letters looked at data from 626,454 women in the United Kingdom, average age 64, to see whether cat ownership — Toxo infection aside — matched brain cancer risk.
It didn’t, Vicky Benson and her colleagues at the University of Oxford concluded. Eighteen percent of the women in the study owned at least one cat, but there was no sign that the cats by themselves brought an extra risk for brain cancer.
The study apparently touched a nerve; headlines rejoiced: “Cats not linked to brain cancer after all” and “Good News: Cats aren’t really polluting your brain with poop parasites.” What didn’t get as much attention was a clarification from Vittecoq and her colleagues. In a response, they cited studies from some populations showing that cat ownership isn’t even a reliable predictor of T. gondii infection. Eating undercooked meat presents a bigger threat. The point of the original studies, Vittecoq emphasizes, is that, regardless of how someone gets a parasite, the infection itself might be linked to brain cancer. Now researchers need to take a more detailed look at the possible associations.
Even though her own paper helped raise the specter of brain cancer, Vittecoq seems to be at peace with her parasite. Trying to separate a human from all its microbes is not possible, she says.
Researchers have calculated that the microbial cells in a human body outnumber the Homo sapiens cells 10 to 1. “We have to learn to live with parasites in a healthy way,” Vittecoq says. As for the sci-fi possibility that the parasite is changing her personality, she accepts the idea but doesn’t find it worth worrying about. “One influence among many,” she says.
What is worth worrying about doesn’t get the press it should, grumbles Hunter, the parasitologist who studies T. gondii’s powers for evading immune systems. Alien mind control and crazy cat ladies make it into far more headlines than plain old public health concerns. Pregnant women get warned away from unwashed lettuce and messy litter boxes not because of the potential for personality changes but because an infected mom occasionally passes the infection to the fetus, with uncommon but possibly devastating consequences.
Even less widely discussed, T. gondii ranks fourth among causes of hospitalization from foodborne illness and second among causes of food poisoning deaths in the United States, according to the Centers for Disease Control and Prevention.
Forget about mind control. The big message may be take care when cooking and when cleaning up after cats, Hunter says. “The best microbiological health tip ever: Wash your hands.”
PARASITE PARADE
Plenty of parasites may manipulate a host to their own benefit. In these cases, the grotesque outcome can make T. gondii’s subtle tricks seem mild.
