Uncategorized

  1. Planetary Science

    Massive dust storms are robbing Mars of its water

    Mars was once lush with water. A new analysis of Martian climate data shows a mechanism that might have helped dehydrate the planet.

    By
  2. Anthropology

    ‘First Face of America’ explores how humans reached the New World

    New documentary shows how an ancient teen and an infant have illuminated scientists’ understanding of the peopling of the Americas.

    By
  3. Health & Medicine

    New twist on a flu vaccine revs up the body’s army of virus killers

    A new approach to flu vaccine development makes influenza virus extra sensitive to a powerful antiviral system.

    By
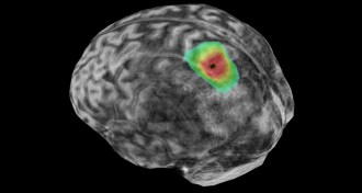
  4. Neuroscience

    Cilia in the brain may be busier than previously thought

    A hairlike appendage sticking out of brain cells may be much more important in the brain than scientists realized.

    By
  5. Life

    Light pollution can prolong the risk of sparrows passing along West Nile virus

    Nighttime lighting prolongs time that birds can pass along virus to mosquitoes that bite people.

    By
  6. Health & Medicine

    50 years ago, IUDs were deemed safe and effective

    50 year ago, the U.S. Food and Drug Administration declared intrauterine devices safe and effective, though officials didn’t know how the IUDs worked.

    By
  7. Microbes

    The secret to icky, sticky bacterial biofilms lies in the microbes’ cellulose

    Bacteria use a modified form of cellulose to form sticky networks that can coat various surfaces.

    By
  8. Earth

    Volume of fracking fluid pumped underground tied to Canada quakes

    Study links volume of fracking fluid injected underground with hundreds of quakes in central Canada, and not the rate at which the fluids were injected.

    By
  9. Anthropology

    Hunter-gatherer lifestyle could help explain superior ability to ID smells

    Hunter-gatherers in the forests of the Malay Peninsula prove more adept at naming smells than their rice-farming neighbors, possibly because of their foraging culture.

    By
  10. Materials Science

    Ultrathin 2-D metals get their own periodic table

    A new atlas of atom-thick metals could help researchers figure out how these 2-D materials might be used.

    By
  11. Animals

    The mystery of vanishing honeybees is still not definitively solved

    The case has never been fully closed for colony collapse disorder, and now bees face bigger problems.

    By
  12. Health & Medicine

    Evidence grows that normal childbirth takes longer than we thought

    Another study finds that labor lasts longer than is traditionally taught — an insight that could mean fewer unnecessary cesarean deliveries.

    By