- More than 2 years ago
Chantelle, 20 years old and 29 weeks into her third pregnancy, was sitting in John Kingdom’s office at Toronto’s Mount Sinai Hospital waiting for a prescription. Her blood pressure was high. Her developing baby, a girl, weighed about 500 grams but at this point should have weighed closer to 1,300 grams.



Chantelle’s two previous pregnancies had failed for reasons she couldn’t fathom, but this time she knew exactly what was wrong. Her baby’s placenta was thick, bulky and riddled with holes. “They compare it to Swiss cheese,” she said. Blood and nutrients weren’t flowing properly, restricting the fetus’s growth. And now the pregnancy was taking a toll on Chantelle as well.
“I know already I’m not going to go full term,” she said. “My placenta just doesn’t deliver all the nutrients she needs.”
The baby was born one week later. Chantelle hoped the infant would fare better outside of the womb, and she did — at seven weeks old she was still tiny but rapidly gaining weight. Chantelle also wanted to know why she’d had to go through this again and again. “I don’t know if there’s any real answer,” she said. “That’s just the placenta you get and there’s nothing you can do about it.”
In the future, that might no longer be true. Chantelle’s placenta from this pregnancy was collected and stored in a placenta bank in a gleaming glass building across the street from the hospital, to be examined by researchers.
Kingdom and his medical partner, Rory Windrim, started their Placenta Clinic at Mount Sinai in 1999 to care for women who have had late miscarriages, stillbirths, preeclampsia, intrauterine growth restriction and a host of other placenta problems in earlier pregnancies. Now the team has expanded placental care on a research basis to first-time moms, one of the groups at considerable risk for trouble. The researchers hope to screen and track 5,000 first-time mothers (they’ve already tracked nearly 1,000) to determine whether problems with the placenta can be detected early enough in pregnancy to head off serious complications later.
The pancake-shaped piece of tissue that nourishes a baby in the womb doesn’t get the respect it deserves, says Peter Parham, a geneticist and immunologist at Stanford University: “Most of us are used to thinking of the placenta as the afterbirth, this nasty, messy stuff that comes out after the baby. In reality, it’s an organ that is every bit as sophisticated as a liver or a heart.”
Even so, few researchers have studied the organ, says Susan Fisher, a reproductive biologist at the University of California, San Francisco. Twenty years ago, when she began studying preeclampsia, a complication of pregnancy in which the mother develops high blood pressure and protein in the urine, she couldn’t find diagrams in medical texts of how placental cells interact with the uterus. “I was just blown away; these massive tomes of histology and no description of this,” she says.
Now a handful of researchers are focusing on this previously overlooked organ, revealing new clues to its role in a variety of pregnancy complications. They are also learning about the intricate biology that, when all goes well, allows it to skillfully mediate between mother and fetus.
The invasion
The placenta isn’t mom’s property. It is composed mostly of tissue made by the baby beginning four or five days after fertilization. The embryo consists at that time of about 100 cells known as a blastocyst, a hollow ball with a lump of cells clinging to the inside. The cells in the lump grow into the fetus. The blastocyst’s outer layer of cells, called the trophoblast, gives rise to the placenta.
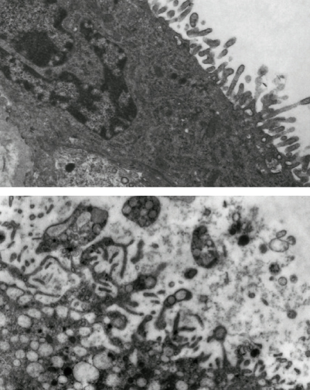
The trophoblast forges an aggressively intimate connection with the mother from the start, invading the lining of the uterus and rerouting the mother’s blood supply. As the placenta grows, it forms projections called chorionic villi that bathe in maternal blood. Some branches lodge their tips in the uterine wall to anchor the placenta. The umbilical cord plugs into the placenta’s center and carries blood to the fetus. By the time the organ is fully grown, the interface between it and the uterus encompasses 12 square meters or more; if all of its branched blood vessels were stretched flat the placenta would cover three ping-pong tables.
How the placenta maintains a human pregnancy for so long is still one of the fundamental mysteries of biology, Fisher says. By all rights, the mother’s immune system should attack the fetus right off the bat because it carries foreign genes; half a baby’s genetic makeup comes from the father. “If it were the father’s kidney, it would be instant rejection,” she says.
But the placenta starts negotiations right away with the mother’s immune system by excreting diplo-matic packages in the form of tiny membranous spheres called exosomes. Placental cells pack their exosomes with proteins, information-carrying molecules called microRNAs and other substances that can either shift the mother’s immune system toward or away from an inflammatory reaction that might damage the placenta. Nearly every cell in the body uses such packages to communicate, but in pregnancy the propaganda machine is cranked to new heights. “This is the beauty of human reproduction,” says Ian Sargent, a reproductive immunologist at the University of Oxford in England. “It’s hijacked the immune system and used it for its own purposes.”
Researchers are beginning to learn more about how the placenta tweaks the immune response during pregnancy. Fisher and her colleagues have been studying certain immune cells called natural killer cells in the uterine lining. Immunologists often name cells after the proteins that stud their surfaces, but not in this case. “It’s one area of immunology where we call the cells exactly what they are; natural killers of foreign cells,” says Fisher.
Natural killer cells lurk everywhere in the body, ever vigilant, targeting invaders be they bacteria, viruses or rogue human cells. The assassins can tell the body’s own cells from outsiders by asking for ID in the form of major histo-compatibility complex, or MHC, proteins. Every person has his or her own combination of six different MHC proteins. Killer cells pounce on cells that display the wrong combination of MHC proteins (or no MHCs). But that doesn’t happen in the uterus, even though, thanks to dad, the implanting embryo is almost certain to carry an MHC combo that is different from mom’s.
Researchers originally thought that the natural killers in the uterus had gone a bit soft and lost the ability to kill invading placental cells. But natural killers in the uterus are every bit as lethal as their brethren elsewhere in the body, Fisher’s team reports April 3in Biology of Reproduction.
Fisher and colleagues discovered that other maternal immune cells called macrophages secrete a protein called TGF-beta 1 that restrains the natural killers in the uterine lining. Fisher doesn’t yet know what motivates the macrophages to produce the chemical, but she thinks the interaction could be important in cementing a foothold for the placenta early in pregnancy.
Right now, there’s no way to tell whether a misstep in that preliminary process occurs. But when it does, it can cause big problems later in pregnancy — as Ilanit Genkin found out.
Genkin was 25, healthy and pregnant for the first time. But 26 weeks into her pregnancy she started feeling sick at work and went to the hospital for an emergency ultrasound. Her doctors told her that the fetus was small, but that was to be expected for a diminutive mother like Genkin. They sent her home to rest.
By week 29, Genkin was vomiting and had severe headaches. Her urine was as brown as leather. Her blood pressure was alarmingly high. Her daughter, now 4, was delivered by emergency Cesarean section. Even with the early delivery, it took months for Genkin to return to normal. The diagnosis was severe preeclampsia, a disorder Genkin had never heard of. “Nobody could give me an answer about what happened to me,” she says.
It’s impossible to know what went wrong in Genkin’s case, in part because her placenta was discarded. But research suggests that in preeclampsia, the placenta fails to dig into the uterus early on, depriving the fetus of nourishment and stressing the mother’s body. Genkin’s problems started long before her symptoms appeared.
Tactical moves
Grabbing a good hold of the uterus is such a demanding maneuver that only a few fetal cells take on the job. Those special operatives are known as extravillous trophoblast cells; they infiltrate the uterus and open up maternal blood vessels. Success ensures that the placenta will have sufficient blood supply to sustain a full-term pregnancy. Failure can lead to numerous complications.
To get the invading cells past the mother’s immune defenses, the placenta stages an early diversion says Harvey Kliman, a physician and scientist at Yale University. Kliman made the discovery while examining healthy placentas ranging in age from six to 18 weeks of gestation. In some parts of the attached maternal uterine lining, he found “total destruction, areas of complete napalm war.”
Those zones of destruction crawl with inflammation-producing immune cells and are littered with dead cells and crystals of placental protein 13, which helps regulate the activity of immune cells. Kliman discovered that these areas of wanton cell death occur near uterine veins, away from the sites where placental cells invade maternal blood vessels. The PP13 attacks peak at about seven to eight weeks of gestation. At the same time, the maternal arteries in the uterus undergo remodeling. He deduced that the placenta sets off PP13 explosions to draw immune attention away from mom’ spiral arteries, allowing placental cells to sneak in.
Even with the diversion, placental cells need help to enter arteries. Invading cells send out a protein, called adrenomedullin, to trick natural killer cells in the uterus into helping placental cells infiltrate the maternal arteries, Kathleen Caron, a cardiovascular physiologist at the University of North Carolina in Chapel Hill and colleagues report May 1 in the Journal of Clinical Investigation. Baby mouse placentas that don’t produce adrenomedullin look pockmarked, very much like those from human babies of preeclamptic mothers, Caron’s group discovered.
Levels of adrenomedullin in a human mother’s blood generally climb during pregnancy. Studies have shown that women with preeclampsia don’t experience that rise. Caron thinks that early monitoring of the protein could provide an important indicator for preeclampsia risk. Clinical tests already measure levels of the protein in heart attack and heart failure patients, so such tests might be adapted to give pregnant women and their doctors early warnings, she says. That could allow future therapies time to correct problems.
Back in Kingdom’s lab, scientists investigate other possible signs of early trouble. Dora Baczyk, a molecular biologist on Kingdom’s team, perched at a black-topped lab bench and placed a slide under the lens of a microscope. The slide contained dozens of tiny dots of tissue from placentas stored in a placenta bank. Some of the samples were taken from normal placentas. Others came from abnormal placentas from patients with preeclampsia or intrauterine growth restriction, the conditions that plagued Chantelle and her tiny baby.
With a microscope, even a novice can see the difference between the lush bushy vessels of a normal placenta and the sparse twigs of a growth-restricted one. Baczyk and her colleagues are hopeful that they can find molecular factors that distinguish a sick placenta from a healthy one.
One clue comes from a gene called glial cells missing 1, or GCM1. The gene, named for a mutation found to block the formation of glial cells in the brain, appears to play an important role in placenta development too, Haibin Wang of the Chinese Academy of Sciences in Beijing and others report April 16 in PLOS Biology. The team shows that GCM1 works with a gene called Frizzled5 in the earliest stages of placenta development to direct formation of the bushy branches of the chorionic villi.
But the gene’s job is far from done once the branches form. Kingdom, Baczyk and others have found that GCM1 helps the placenta’s skin replenish itself. The GCM1 protein ensures that stem cells divide to make more stem cells and also make mature cells that can replace damaged ones in the placental skin. When GCM1 doesn’t work properly, the surface of the placenta becomes raggedy — either because only stem cells are made, leaving no mature skin cells to replace damaged ones, or because the stem cell supply dries up.
Recently Baczyk, Kingdom and their colleagues discovered that GCM1’s activity is controlled by a protein called DREAM. And DREAM is governed by how much calcium is available in cells, the team reported January 3 in PLOS ONE. That could help explain why women in developing countries who take calcium supplements have a lower risk of preeclampsia, Kingdom says. But he cautions that this doesn’t mean calcium supplements are right for everyone; too much of that good thing can also be bad for the placenta.
Marching on
If early efforts to establish the placenta fail, problems can compound later. In women like Genkin, debris shed by a damaged or dying placenta may send exactly the wrong message to the mother’s immune system. Decrepit placental cells, Sargent and colleagues reported February 20 in PLOS ONE, scatter large spheres that act like distress beacons jettisoned from dying cells. Sargent has some evidence that this debris may actually provoke the mother’s immune system to attack the placenta.
Notably, while a vigilant immune reaction may increase the threat to a healthy pregnancy, it also might provide some benefits to the mother. Recent research by Parham and Ashley Moffett of the University of Cambridge reveals that some of the same genetic variants associated with a higher risk of preeclampsia may make it easier for the mother to fight off viral infections such as hepatitis C or Ebola. The researchers make their case for a balance between virus combat and healthy babies in the February Nature Reviews Immunology.
In the end, even a wayward immune system can learn to get along with a fetal interloper. Many women who have miscarriages or other pregnancy complications the first time go on to have healthy placentas the next. Perhaps that’s because the mother’s immune system, after acting up once, learns to tolerate cells with part of the father’s MHC profile. By late May, Ilanit Genkin was 38 weeks along with her second daughter. Her blood pressure was normal with no sign of preeclampsia. Her previous experience gave her a healthy respect for the placenta, she says. “It’s this weird thing growing inside of you, but the placenta, it’s wonderful.”
Kingdom agrees. It is also the future of maternal-fetal medicine, he says: “In the 19th century we saved moms. In the last 30 years we saved babies. Placentology is 21st century obstetrics.”
Signs in the folds
New research suggests that examining the postbirth placenta could yield clues about a child’s risk for developing autism. Placentas with multiple abnormal folds signal higher risk for autism than those that are crease-free, Harvey Kliman of Yale University and colleagues report April 26 in Biological Psychiatry. Kliman studied placentas from 117 babies in his search for early indicators of autism. “The structure of the placenta is a microcosm of cellular and developmental biology,” Kliman says. The placental defect he discovered may indicate that some of a baby’s other tissues also didn’t fold properly, a problem for the intricately crinkled brain. Doctors may one day dissect placentas for clues about other developmental problems a child might face. — Tina Hesman Saey