Self-destructing mitochondria may leave some brain cells vulnerable to ALS
In upper motor nerve cells in mice, the cell organelles formed loops that then disintegrated

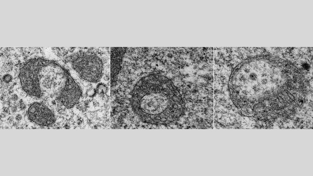
A newfound type of mitochondrial destruction starts when one of the cellular power plants stretches out and bends into a U (left). Its ends connect and fuse into a ring (center), and the organelle begins dismantling itself from the inside out (right).
Mukesh Gautam
- More than 2 years ago
A newly discovered type of mitochondrial self-destruction may make some brain cells vulnerable to ALS, also known as Lou Gehrig’s disease.
In mice genetically engineered to develop some forms of a degenerative nerve disease similar to amyotrophic lateral sclerosis, energy-generating organelles called mitochondria appear to dismantle themselves without help from usual cell demolition crews.
This type of power plant self-destruction was spotted in upper motor neurons, brain nerve cells that help initiate and control movements, but not in neighboring cells, researchers report November 7 in Frontiers in Cellular Neuroscience. Death of those upper motor neurons is a hallmark of ALS, and the self-destructing mitochondria may be an early step that sets those cells up to die later.
Pembe Hande Özdinler, a cellular neuroscientist at Northwestern University Feinberg School of Medicine in Chicago, and her colleagues have dubbed the mitochondrial dissolution “mitoautophagy.” It is a distinct process from mitophagy, the usual way that cellular structures called autophagosomes and lysosomes remove damaged mitochondria from the cell, Özdinler says.
Usually, clearing out old or damaged mitochondria is important for cells to stay healthy. When mitochondria sustain too much damage, they may trigger the programmed death of the entire cell, known as apoptosis (SN: 8/9/18).
Özdinler’s team spotted what she describes as “awkward” mitochondria in electron microscope images of upper motor neurons from 15-day-old mice. These unweaned mice are equivalent to human teenagers, Özdinler says. ALS typically doesn’t strike until people are 40 to 70 years old. But by the time symptoms appear, motor neurons are already damaged, so Özdinler’s group looked at the young mice to capture the earliest signs of the disease.
The mice in the study had forms of ALS-like diseases caused by buildup of one of three abnormal proteins: SOD1, profilin or TDP-43. Only mice with abnormal TDP-43 or profilin proteins had mitochondria that dismantled themselves. Mitochondria in rodents with faulty SOD1 followed the usual removal routes.
Even in the very young TDP-43 mice, mitochondria in the upper motor neurons looked strange and “not too healthy,” Özdinler says. “After we systematically analyzed more than 200 cells with thousands of mitochondria in them, we realized a pattern.”
The researchers propose that mitochondria progress through several phases of degeneration. First, a mitochondrion stretches out. “Some of them are extremely long, like we have never seen before,” Özdinler says. Then, it bends into a U shape. The tips of the U eventually meet and fuse the organelle into a ringlike structure. Then the inner part of the ring disintegrates, followed by the outer part of the ring.
“It’s self-eating itself. That’s why we said, ‘This isn’t normal. This we have never seen before,’” Özdinler says. Self-eating mitochondria may somehow make upper motor neurons more vulnerable to ALS later in life. Details of that vulnerability haven’t been worked out yet.
Other researchers who study mitochondria’s role in health and disease aren’t yet convinced that Özdinler’s team has discovered a new type of mitochondrial death.
Evandro Fang is a molecular gerontologist at the University of Oslo who studies how mitochondria are involved in aging and neurodegenerative diseases. He says the static, two-dimensional electron microscope images in the study may give a false impression of what’s going on. Watching what happens to single mitochondria over time and examining the organelles in 3-D would provide a fuller picture, he says.
And Özdinler’s group didn’t explain the molecular mechanism that would cause mitochondria to dissolve themselves, he says. “We’d better not judge whether it’s right or wrong at this stage, because it’s too preliminary,” Fang says.
Troubled mitochondria in the liver also form structures similar to those captured in Özdinler’s microscope images, says Wen-Xing Ding, a cell biologist at the University of Kansas Medical Center in Kansas City. Ding has seen sick mitochondria form what he calls mitochondrial spheroids, reminiscent of the rings Özdinler’s group reports. But neither he nor Özdinler’s group has quantitative data to show that mitochondrial proteins, DNA and other components are really cleared from cells, he says.
Mitochondria contain some enzymes that can break down proteins, but Ding doesn’t think those enzymes could digest the entire organelle without help from other cellular machinery. Still, something odd may be going on with mitochondria in some cells, he says. “This is a novel mitochondrial structure,” he says. “Whether this is a novel way to get rid of mitochondria, I do believe it, but we don’t have clear evidence at the moment.”