People who lack olfactory bulbs shouldn’t be able to smell. But some women can
The structures are the parts of the brain known to receive sensations of smell from the nose
Some people can smell even though they appear to lack certain structures in the brain thought to be crucial to processing olfactory information, a study finds.
FG Trade/E+/Getty Images
Some people may be able to smell even without key structures that relay odor information from the nose to the brain.
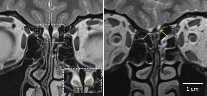
Researchers used brain scans to identify two women who appear to be missing their olfactory bulbs, the only parts of the brain known to receive signals about smell sensations from the nose and send them to other parts of the brain for processing. Both individuals performed similarly to other women with olfactory bulbs on several tests to identify and differentiate odors, the scientists report November 6 in Neuron. The findings challenge conventional views of the olfactory system, and may lead to treatments for people with no sense of smell (SN: 7/2/07).
“I’m not sure that our textbook view of how the [olfactory] system works is right,” says Noam Sobel, a neuroscientist at the Weizmann Institute of Science in Rehovot, Israel.
MRI scans of the women’s brains revealed that where most people have two olfactory bulbs, these two appeared to have cerebrospinal fluid instead. To the researchers, this indicated that the women didn’t have olfactory bulbs.

But Jay Gottfried, a neuroscientist at the University of Pennsylvania who was not involved in the study, says “I am not convinced that the women are indeed missing their bulbs.” Some evidence for olfactory bulbs may be undetectable with MRI, like microscopic structures or olfactory tissue that could be found with antibodies, he says.
A typical olfactory bulb has about 5,500 nerve clusters called glomeruli. With the MRI resolution used, the researchers calculate that they should be able to see olfactory bulbs with at least 10 glomeruli — about 0.18 percent the size of a normal bulb. But it’s possible the women could have even smaller olfactory bulbs, Sobel acknowledges.
People without olfactory bulbs typically have anosmia, a condition marked by a loss or impairment of the sense of smell. Yet the two women without apparent bulbs performed about average on two sniff tests — detecting strong or faint smells and identifying 40 scratch-and-sniff odors — compared with other women from previous, unrelated smell experiments.
So Sobel and his colleagues had the two women and 140 others with olfactory bulbs rate the similarity of how roses, peanuts, motor oil and other scents smell. This created an “olfactory fingerprint” for each individual, giving a sense of how the world smells to that person. The results indicated that the world smelled nearly the same to the women without apparent olfactory bulbs as it did to those with them, though the two women’s olfactory fingerprints were more similar to each other’s than to anyone else’s.
“It’s important to note that their [sense of] smell was not quite normal,” says John McGann, a neuroscientist at Rutgers University in Piscataway, N.J., who was not involved in the study. Both of the women had difficulty detecting low concentrations of a roselike smell, one of the most common odors in olfactory testing, he says. “But there’s no question [they] could smell.”
When the team looked in a public database of 1,113 brain scans for other individuals who appeared to be missing olfactory bulbs but still had a sense of smell, it found three other women who matched that description. Like the original pair, one of those women was left-handed. Those results imply that about roughly 0.6 percent of women globally and 4.25 percent of left-handed women lack visible olfactory bulbs but can still smell almost normally, the team says. No men in the database appeared to be missing the structures.
“We don’t know how to explain how these women can smell, why it’s primarily women or why it’s more pronounced in left-handed individuals,” Sobel says. Human brains are adaptable, so the women’s brains could have compensated for a lack of olfactory bulbs early in development (SN: 4/10/14). Or the findings could imply that the current understanding of how people smell is wrong, Sobel says.
The researchers are now recruiting more people who appear to lack these structures to test the limit of their scent abilities. Such work could help scientists better sniff out the role of olfactory bulbs in human smelling, and may lead to treatments to help people with anosmia regain the ability to smell.