50 years ago, urea showed promise as a sickle-cell treatment

Excerpt from the December 19, 1970 issue of Science News

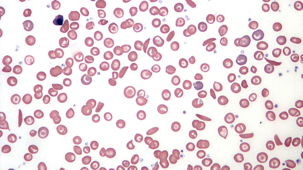
a microscopic image showing the sickle curved shape of blood cells

Keith Chambers/Scooter Project/Wikimedia Commons (CC BY-SA 3.0)

Keith Chambers/Scooter Project/Wikimedia Commons (CC BY-SA 3.0)

cover of December 19, 1970 issue of Science News

Urea normalizes cellsScience News, December 19, 1970

Intravenous infusions of urea now appear to promise successful treatment of sickle-cell patients.… Urea causes sickled cells to revert to their normal, doughnut shape. Thus far, intravenous infusions of urea have relieved sickle-cell crises in 22 patients tested.

Update

Sickle-cell disease causes painful clots that can lead to strokes and damage organs. Bone marrow transplants, which began in the 1980s for sickle-cell patients, are a cure, but finding a donor can be challenging. In 1998, a urea-based compound called hydroxyurea became the first drug approved by the U.S. Food and Drug Administration to treat sickle-cell disease. Until then, without a transplant, doctors could only ease symptoms with painkillers and blood transfusions.

Hydroxyurea is still used today. Because the compound can be toxic at high doses, scientists have continued searching for better treatments. Clinical trials under way in the United States are using the gene-editing tool CRISPR/Cas9 to edit sickle-cell patients’ DNA in an effort to beat the disease for good (SN: 8/31/19, p. 6).

Bethany was previously the staff writer at Science News for Students. She has a Ph.D. in physiology and pharmacology from Wake Forest University School of Medicine.