Arctic melting may help parasites infect new hosts
Grey seals are encountering a killer microbe as they move north
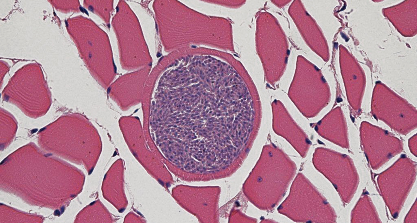
NEW NEIGHBORS As the Arctic emerges from a deep freeze, parasites including Sarcocystis pinnipedi (shown, purple) are able to infect animals that they have never encountered before.
M. Grigg
- More than 2 years ago
CHICAGO— Along with melting Arctic ice comes an erosion of natural barriers that once separated parasites from hosts.
That erosion has allowed at least two pathogens to infect marine mammals they were previously unknown in, said Michael Grigg, a molecular parasitologist at the National Institutes of Health in Bethesda, Md. He reported the findings February 13 at the annual meeting of the American Association for the Advancement of Science.
A newly identified parasite was once frozen safely away from grey seals (Halichoerus grypus). It has now infected some with disastrous consequences. In 2012, about 20 percent of healthy-looking grey seal pups born on Hay Island off the coast of Nova Scotia mysteriously died. The cause turned out to be a parasite that destroyed the livers of 404 pups and two adults, Grigg said.
Grigg and his colleagues found that the parasite, a microscopic creature shaped like a crescent moon, also infects about 80 percent of ringed seals (Pusa hispida) but doesn’t make them sick. The parasite, which Grigg and his colleagues dubbed Sarcocystis pinnipedi, invades cells and can cause inflammation that damages tissues. In ringed seals, the parasite gets into cells, but the animals protect themselves from inflammation by walling the microbes off in cysts.

Grey seals normally live only in sub-Arctic regions. Grigg thinks rising temperatures and melting ice may have encouraged grey seals to follow fish north into ringed seal territory. The researchers don’t know how the parasite is transmitted, but they suspect grey seals may pick it up when they encounter infected scat from a ringed seal.
Grey seals aren’t the only marine mammals dealing with new parasites.
Scientists have found some Beluga whales in the Beaufort Sea north of Alaska infected with a parasite that lives in cats and can be transmitted to humans via infected kitty litter, Grigg and colleague Stephen Raverty, a veterinary pathologist at the University of British Columbia, reported. Freezing is one of the few things that can kill the parasite, called Toxoplasma, Grigg said. (In his lab, rsearchers store the organism in sulfuric acid.).
A warming Arctic means that the parasite can survive farther north than it could before. Toxoplasma had never before been found in the Arctic.
The researchers don’t know how the parasite affects the whales, but they say it presents a danger to Inuit people who eat whale meat. Toxoplasma can cause pregnant women to miscarry, although the parasite is usually otherwise harmless to healthy humans.
The grey seal and beluga examples may portend other health threats stemming from Arctic melting, Raverty said.
But making direct connections between climate change and animal health is difficult, said Sue Moore, a biological oceanographer at the National Oceanic and Atmospheric Administration in Seattle. “We need to know better how [parasite spread] corresponds to warming, to changes in diet,” she said. If a link exists, uncovering it will probably require biologists and climate scientists to team up. “Right now the people who know about how warm water moves up the coast aren’t talking to the people who know what’s going on with the animals,” she said.
Editor’s Note: This story was udpated February 18, 2014, to correct the location of Hay Island.