Exploration forges differences in identical twins
Distinctive personalities in mice related to brain development

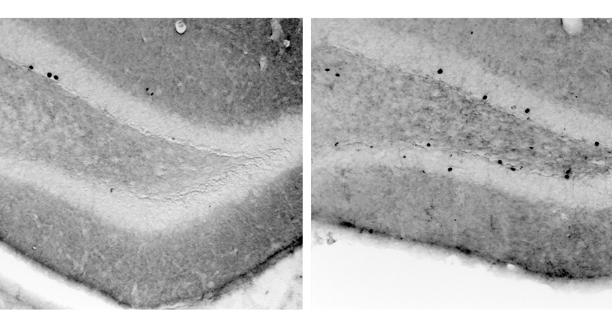
Genetically identical mice that thoroughly explored a complex cage grew more neurons (shown in black on right) in a key brain region than did mice that explored less (left), new research finds. The findings may shed light on how distinctive personalities arise even in identical twins raised in the same environment.
CRTD/DZNE/Julia Freund