Science News Magazine:
Vol. 183 No. #13
Trustworthy journalism comes at a price.
Scientists and journalists share a core belief in questioning, observing and verifying to reach the truth. Science News reports on crucial research and discovery across science disciplines. We need your financial support to make it happen – every contribution makes a difference.
More Stories from the June 29, 2013 issue
- Space
Moon’s water may have earthly origins
Ratio of hydrogen to deuterium suggests molecule on both orbs has a common source.
By Andrew Grant - Life
Exploration forges differences in identical twins
Mice with the same genes and surroundings diverged in brain development depending on how much they moved around their environment.
- Physics
Low-energy laser makes leap toward practicality
Researchers have created a polariton device that runs on electricity.
By Andrew Grant - Life
Invasive frogs may spread deadly amphibian fungus
African clawed frogs imported for 20th century pregnancy tests apparently communicate B. dendrobatidis to native species.
By Susan Milius - Life
Analog circuits boost power in living computers
New cell-based computers do division and logarithms more like a slide rule than a laptop.
By Meghan Rosen - Life
Foot fungi a thriving, diverse community
A skin census finds that toes and heels have the most fungal types.
By Meghan Rosen - Psychology
Less is more for smart perception
Neural efficiency reigns in brains of high-IQ individuals as they view their surroundings, a new study indicates.
By Bruce Bower - Animals
How roaches developed disgust at first bite
A change in taste cells makes glucose-baited traps repellent.
By Susan Milius - Life
Response to bacterial infection depends on time of day
Mice that got Salmonella in the evening fared better than those given the microbe in the morning.
By Meghan Rosen - Paleontology
Fossil muddies the origin of birds
New specimen may be a feathered dinosaur — or the earliest avian yet discovered
- Health & Medicine
Underactive thyroid ups pregnancy risks
Several complications are more common in women with the condition, including gestational diabetes and cesarean births.
By Nathan Seppa - Health & Medicine
Mars trip would deliver big radiation dose
Curiosity instrument confirms expectation of major exposures.
- Health & Medicine
Easy steps limit antibiotic-resistant infections in hospitals
Intensive care units that bathe patients and take other precautions have fewer cases of staph, a study finds.
By Nathan Seppa - Life
Genes weakly linked to education level
A search of more than 2 million DNA locations in more than 125,000 people finds a weak, and perhaps dubious, association with schooling.
- Humans
Couples who meet online have fine marriages
Relationship satisfaction for Internet daters is similar to that of people who find potential partners in more traditional ways.
- Archaeology
Italians taught French wine-making
Archaeology suggests Etruscans brought the grape to Gaul.
- Humans
Dietary changes accompanied human evolution
Hominids moved toward eating grasses and away from tree leaves, according to chemical analyses of fossil tooth enamel.
- Health & Medicine
Flu spreads via airborne droplets
Hand washing goes only so far in retarding flu transmission.
- Animals
Frog long thought extinct rediscovered in Israel
Hula painted frog turns out to be the only surviving member of an extinct genus.
By Meghan Rosen - Paleontology
Fossil sheds light on early primates
Partial skeleton near root of monkey, ape and human line.
By Bruce Bower - Quantum Physics
Light breaks up to cloak gaps in time
Method could hide messages without sender’s knowledge.
By Andrew Grant - Neuroscience
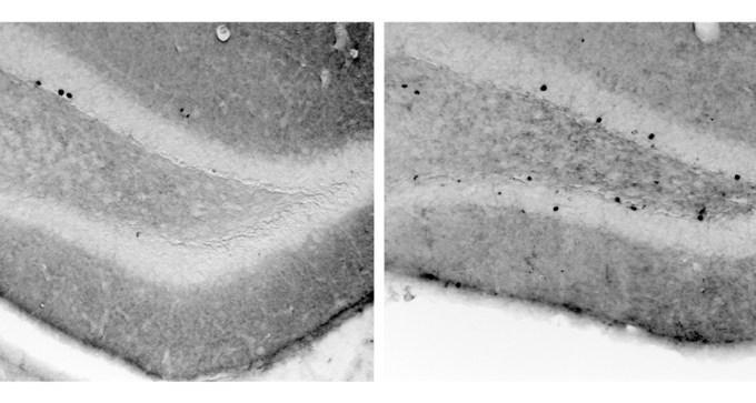
Research prods brain wiring underlying compulsive behavior
Complementary studies, focusing on repetitive grooming in mice, offer potential for new treatment strategies in humans.
- Health & Medicine
DSM-5 enters the diagnostic fray
Fifth edition of the widely used psychiatric manual focuses attention on how mental disorders should be defined.
By Bruce Bower - Science & Society
Tim Samaras, 1957–2013
Tim Samaras spent the past twenty years chasing tornados. He was killed in a storm in May.
By Janet Raloff - Chemistry
A Tale of Seven Elements
Eric Scerri's book tells the story of filling in the periodic table of the elements.
By Sid Perkins -
-
- Physics
Hard times for theorists in a post-Higgs world
The Large Hadron Collider’s big success leaves no clear avenue for new physics.
By Andrew Grant - Animals
In the Eye of the Tiger
Global spread of Asian tiger mosquito could fuel outbreaks of tropical disease in temperate regions.
-
Letters to the editor
Invertebrate enigmas I found the recent article “Evolutionary enigmas” (SN: 5/18/13, p. 20) fascinating because I know of another example of an invertebrate animal possessing a “strictly vertebrate” quality. As a high school human anatomy and physiology teacher, I sometimes have my students test the effects of the constituents in cigarette smoke on live Daphnia […]
By Science News - Health & Medicine
Balloon Clears Arteries
Excerpt from the June 29, 1963, issue of Science News Letter.
By Science News - Math
Math on Trial
How Numbers Get Used and Abused in the Courtroom by Leila Schneps and Coralie Colmez.
By Janet Raloff