Losing tropical forest might raise risks of human skin ulcers, deformed bones
Bacteria causing Buruli disease prosper with certain landscape changes
 
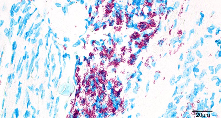
		FOREST CHANGE Clearing forests and changing landscapes might affect how many people develop Buruli ulcer. The disease is caused by bacteria shown here (in red) in a section of otherwise healthy mouse tissue (in blue).
Angèle Bénard, Claudia Sala and Gerd Pluschke/PLOS ONE 2016
 
			 
			 
			 
			 
			 
			