New tests screen for lethal prion disease
Urine and nasal swabs can reveal silent carriers of infectious proteins

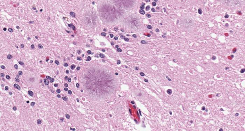
STICK TOGETHER Contagious prion proteins in the brain spawn aggregates (fuzzy purple blobs in this micrograph) that cause Creutzfeldt-Jakob disease. For the first time, noninvasive tests can detect these fatal proteins in urine and nasal tissue.
Sherif Zaki and Wun-Ju Shieh/CDC/Wikimedia Commons
By Nsikan Akpan
- More than 2 years ago
New noninvasive tests can detect Creutzfeldt-Jakob disease and may reveal hidden carriers of the lethal neurological disorder, scientists report in the Aug. 7 New England Journal of Medicine.
Current tests rely on imperfect brain scans or painful spinal taps to find signs of neuronal damage caused by the disease, but these methods miss up to 17 percent of cases. In contrast, the two new tests use urine or nasal swabs to directly confirm whether a person harbors the infectious prion proteins that cause the disorder, with 93 and 97 percent accuracy, respectively.
Although Creutzfeldt-Jakob is rare, precise tests are needed because some people may be unknowing carriers of the shape-shifting prions that cause the disease. Prions have accidentally passed via blood and organ donations in the past, making infection control paramount, says Colin Masters, executive director of the Mental Health Research Institute in Melbourne, Australia. “But both tests must be validated with hundreds more patients before being used to secure donor supplies.”
Prion proteins are normally harmless, but unknown circumstances can tweak their physiques, generating misfolded prions that resemble those that cause mad cow disease and scrapie in sheep. These disfigured prions then bump into normal prion proteins and force them to adopt a malignant shape too. The prions bundle into stringy aggregates called amyloids that then slice up the central nervous system.
People can develop one form of Creutzfeldt-Jakob disease by eating meat tainted with mad cow disease. After an outbreak of mad cow in the United Kingdom 30 years ago, fewer than 200 people fell sick in that country. But some patients lived for years without developing symptoms, and experts worry that there might be silent carriers that could ultimately develop the disease, says neurologist Claudio Soto of the University of Texas Medical School at Houston. Studies estimate that some 30,000 people in the United Kingdom may carry infectious prions, he says.
Scant prions circulate in the body after consuming tainted meat, which has hindered detection outside of spinal fluid. So Soto’s team capitalized on the infectious prion’s compulsion for grouping. A patient’s urine was mixed in a test tube with normal prion protein, which was then blasted with multiple rounds of ultrasonic waves. If abnormal prions were present, they would clump together with the normal proteins and form amyloid blobs. Repeated sonic agitation accelerated amyloid formation, making it easier to detect prions.
With the test, the team detected abnormal prions in 13 of 14 urine samples from patients with the form of Creutzfeldt-Jakob disease caused by eating prion-packed meat. The test was very sensitive, catching as few as 40 prion blobs per milliliter of urine — akin to fishing a single shrimp from the Mediterranean Sea. Meanwhile, the urine screen didn’t record a single false positive in 224 control patients who don’t have the disease.
In the second study, researchers took advantage of the tendency of infectious prions to attack nervous system tissue throughout the head and spine. Olfactory neurons in the nose are arguably the most accessible and easiest to test of these tissues, says neurologist Gianluigi Zanusso of the University of Verona in Italy.
Tissue from nasal swabs was washed into test tubes containing normal prions. The researchers gently shook the test tubes and looked for amyloids. “This procedure is simple and doesn’t damage the ability to smell because olfactory neurons regenerate once a year,” says Zanusso, who led the study with Byron Caughey of the National Institute of Allergy and Infectious Diseases in Hamilton, Mont.
The technique detected infectious prions from 30 of 31 Italian patients with the most common form of Creutzfeldt-Jakob disease, which spontaneously develops in patients for unknown reasons. About one in 1 million people annually suffer this form of the disease globally.
The screening methods could possibly be applied to a broader range of disorders, says Masters. Although controversial, some scientists suspect that Alzheimer’s disease is caused by clumps of misshaped proteins that behave like prions (SN: 7/14/12, p. 5).