- More than 2 years ago
On March 10, an unusual product inventory went live on the Web. The items, which include wrinkle-banishing creams and reinforced tennis rackets and hockey sticks, don’t look out of the ordinary. The shared feature of these 200-or-so seemingly disparate products hides within them. The products represent the initial attempts to take advantage of the special properties ascribed to nanotechnology. For instance, carbon nanotubes purported to be up to 100 times as strong as steel are being used to toughen sports equipment.


The inventory’s items are only “the first wave of a product tsunami,” says David Rejeski, director of the Project on Emerging Nanotechnologies in Washington, D.C., which compiled the inventory. The National Science Foundation has predicted that a decade from now, nanotechnology will have a $1 trillion impact on the world’s economy.
Nanotechnology is the engineering and study of particles that have at least one dimension less than 100 nanometers. Along with tempting opportunities, the new field has brought safety concerns. Right now, the government approaches safety assessments of items that include engineered nanoparticles much as it does items that contain larger chunks of the same materials. Yet the tremendous interest in nanotechnology centers on novel features of the nanoparticles: Their small size, large surface area, and unusual structures endow them with electronic, optical, and catalytic properties not found in their parent materials.
The unusual qualities of engineered nanoparticles imply that they may have “unusual toxicity,” says molecular toxicologist Valerian Kagan of the University of Pittsburgh.
The differences between engineered nanoparticles and other materials, as well as distinctions among nanoparticles, add to the challenge of assessing their toxicity. The engineered items come in many shapes and, within their tiny realm, various sizes. Their effects on cells are different when they clump than when they act individually, and it’s often unclear how cells in the body would encounter them. Pinpointing the factors responsible for a toxic response is a needle-in-a-haystack task.
To address these challenges, toxicologists and chemists are working to establish protocols for what they have begun to call nanotoxicology. Their work will not only influence safety standards for the production and use of engineered nanoparticles but will also shape how the public perceives the new materials. “If we get it wrong, we can turn people and attitudes against a technology which is potentially useful and powerful,” says Andrew D. Maynard, chief science advisor for the Project on Emerging Nanotechnologies, which is funded by the Pew Charitable Trusts.
Engineered entities
Nanotoxicology deals with the safety of engineered nanoparticles. These purposefully made particles come in shapes ranging from spheres and dots to tubes and wires. Researchers control size and shape when designing nanoparticles to exploit specific properties that “give you something useful, in an engineering sense,” says chemist Kevin D. Ausman of Rice University in Houston.
Engineered nanoparticles share a size range with some by-products of natural or human activity: for example, nanoparticles that arise in clouds of volcanic ash and smoke or as pollutants from engines and factories.
These pollutants gave toxicologists the first indication that nanosize particles can be more toxic than larger particles are. Late-20th-century studies of particulate matter in air pollution and of carbon black, a nanoscale product used in tire manufacturing, suggested that the smaller the particle, the greater the chance of harm to the lung, says Ken Donaldson of the University of Edinburgh Centre for Inflammation Research.
Other work has uncovered how the body responds to inhaled particles. When a particle lodges in a lung, it activates inflammatory cells that generate highly reactive oxygen molecules, which damage other cells, says Kagan. At exposures that overwhelm the body’s defenses, inflammation and cell death can cause airway-obstructing diseases.
With this knowledge, Kagan says, the question regarding engineered nanoparticles’ effects on cells isn’t so much whether they provoke an inflammatory response but whether researchers “are going to find anything unique in the interactions.” New electrical and catalytic properties engineered into the particles might make them damaging at lower-than-usual concentrations or in unexpected ways.
Multiple personalities
A variety of factors need to be considered to evaluate the toxicity of engineered nanoparticles. The size, chemical composition, and structure can affect how toxic the particle is, says Donaldson, “and these things can vary dramatically for what’s supposed to be the same material.”
This is different from the situation for other chemicals. “If you open a bottle of benzene in Tokyo and a bottle in Edinburgh, you are going to see the same thing,” says Donaldson. But two engineered nanoparticles that are similarly named but made in different places “are likely to be totally different.”
Consider carbon nanotubes. “Right now, you can buy dozens, if not hundreds, of different samples of carbon nanotubes,” says Ausman. Most tubes are made by one of four techniques, each of which introduces differing amounts of metallic impurities and defects into the walls of the tubes. And some laboratories add their own touches to a production method.
These details matter when it comes to toxicity. Kagan and his colleagues reported in 2003 that single-walled carbon nanotubes riddled with iron impurities are more toxic to cultured cells than purified nanotubes are. In an upcoming Toxicology Letters, they examine the responses of cultured macrophages, the cells responsible for clearing pathogens from the lung and regulating the inflammatory response. They report that the iron-rich tubes led to an abundance of reactive-oxygen molecules that hampered the macrophages’ response, which could lead to early onset of lung scarring.
Findings such as these emphasize the need for nanotoxicologists to adequately characterize their starting materials, says Ausman. Right now, there is a “severe lack of standards in the materials and the terminology used in describing those materials,” he says.
Entry ways
The toxicity of engineered nanoparticles on cells growing in a laboratory provides only half the story. A useful assessment of dangers from these particles also requires knowledge of the exposure: the amount of material and the way in which it enters a person’s body.
One stumbling block to predicting true exposures is that engineered nanoparticles, especially carbon nanotubes, tend to aggregate, forming globs of material that behave differently than individual particles. In a manufacturing facility, for example, it’s unclear whether workers are more likely to inhale carbon nanotubes individually or in clumps. That would affect where the particles end up in the body and how damaging they might be.
In the lab tests so far, carbon nanotubes are often treated with a soap to spread them out to contact cells in a dish. This “raises another question of whether or not these studies are measuring anything that models a real-world exposure,” Ausman says.
The same question arises for animal studies. In the November 2005 American Journal of Physiology, Anna A. Shvedova of the National Institute for Occupational Safety and Health in Morgantown, W. Va., and her colleagues report the effects of single-walled carbon nanotubes on the lungs of mice. The volume of material, delivered in one dose, matched the current permissible exposures in volume for graphite, another form of carbon, over 20 workdays. Unlike graphite, however, the tubes caused a rapid inflammatory response that progressed to scarring of the lung within 7 days, says Shvedova.
The findings suggest that workplace exposures may need to be lower for carbon nanotubes than for graphite, Shvedova says. But she and her coworkers note that a more realistic inhalation exposure needs to be studied. In their work, the material was inserted into the throats of the animals, which then breathed it in. The group is working on a method that more closely mimics inhalation through the nose and mouth.
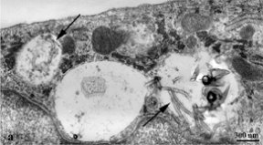
Skin is another likely route of exposure. Nancy A. Monteiro-Riviere of North Carolina State University in Raleigh and her colleagues tested the effect of multiwalled carbon nanotubes on human-skin cells growing on laboratory plates. The team reports in the March 15, 2005 Toxicology Letters that the nanotubes entered the cells and initiated the release of a protein that induces inflammation.
Many questions, however, remain about how nanotubes would affect the skin of a person, Monteiro-Riviere notes. Would the tubes lodge in the tough, outermost layer of dead cells? Or would they pass through to the next layer, where they could gain access to the circulatory system and travel throughout the body?
Nanotoxicologists also have to consider how engineered nanoparticles might affect the brain. In 2004, Günter Oberdörster of the University of Rochester in New York and his colleagues reported that carbon-13 nanoparticles inhaled through a rat’s nose can travel along the olfactory nerve to the brain’s olfactory bulb, a group of neurons located at the top of the nasal cavity (SN: 1/24/04, p. 54: Available to subscribers at Conduit to the Brain: Particles enter the nervous system via the nose). Viruses also use this pathway, which isn’t well known to toxicologists, Oberdörster says.
“What we don’t know is the quantities that are translocated,” he says. “It may not mean much if hardly anything gets there, but we need to be aware [of this pathway].”
Particle plans
As nanotoxicologists address these challenges, they’re also attempting to figure out the most appropriate strategy for testing engineered nanoparticles’ safety. Putting every particle through animal studies—the classic toxicology approach—”would take a lifetime,” says Andre Nel of the University of California, Los Angeles. “And each of those full-toxicity tests would cost within the range of several million dollars.”
Instead, researchers are advocating a tiered approach. Oberdörster and a multi-institute roster of toxicologists and chemists described such a strategy in the October 2005 Particle and Fibre Toxicology. Nel and his colleagues advocated a similar approach in the Feb. 3 Science.
Screening would begin with noncellular tests to “get an idea of how reactive the particle might be,” says Oberdörster. The more-reactive particles would be the first to proceed to longer-term cellular and then animal studies.
Researchers would also like to see standards implemented in nanotoxicology studies. Scientists should agree upon comparison materials, Oberdörster says, so that “you can express your unknown particles against the activity of well-characterized references.”
Studies must also include detailed information on the samples themselves. “Characterization, characterization, characterization,” says Ausman. “That’s the hurdle.”
Maynard agrees, adding that only with accurate characterization of samples can people “have an intelligent conversation about what is the same and what is different about their studies.”
He is also concerned that safety assessments could fall behind nanotechnology advances. “If we don’t act fast,” he says, “we will be in that position.”
But Ausman is encouraged. “If you look at the development of other technologies, we are way ahead of the curve,” he says. “We are actually trying to evaluate the risk, exposure, and health and safety issues before there are observed problems, rather than after.”