Protein’s destructive journey in brain may cause Parkinson’s
Clumps of alpha-synuclein move through dopamine-producing cells, mouse study finds
- More than 2 years ago
The insidious spread of an abnormal protein may be behind Parkinson’s disease, a study in mice suggests. A harmful version of the protein crawls through the brains of healthy mice, killing brain cells and damaging the animals’ balance and coordination, researchers report in the Nov. 16 Science.

If a similar process happens in humans, the results could eventually point to ways to stop Parkinson’s destruction in the brain. “I really think that this model will increase our ability to come up with Parkinson’s disease therapies,” says study coauthor Virginia Lee of the University of Pennsylvania Perelman School of Medicine in Philadelphia.
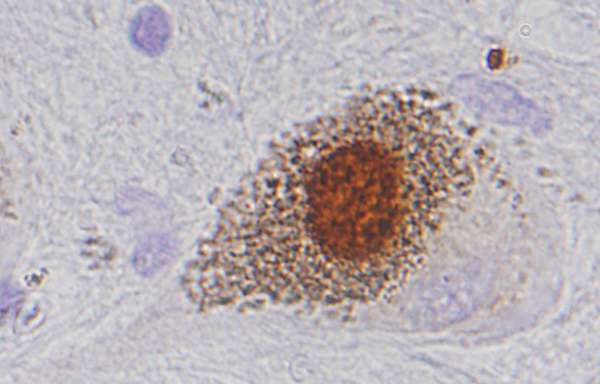
The new study targets a hallmark of Parkinson’s disease — clumps of a protein called alpha-synuclein. The clumps, called Lewy bodies, pile up inside nerve cells in the brain and cause trouble, particularly in cells that make dopamine, a chemical messenger that helps control movement. Death of these dopamine-producing cells leads to the characteristic tremors and muscle rigidity seen in people with Parkinson’s.
Lee and her team injected alpha-synuclein into the brains of healthy mice. After 30 days, the protein had spread to connected brain regions, suggesting that rogue alpha-synuclein moves from cell to cell, the scientists found. Months later, the spreading was even more extensive.
Alpha-synuclein appeared to colonize several areas of the otherwise healthy brain, but the protein was particularly prominent in nerve cells that make dopamine. After six months, Lewy bodies were found inside these cells. As a result, fewer cells survived, and the ones that did churned out less dopamine.
“The real thing here, the novelty, is that the aggregate form can spread from one brain region to another and one cell to another, and cause cell death and disease,” says neuroscientist Patrik Brundin of Van Andel Research Institute in Grand Rapids, Mich.
Overall these animals didn’t show big movement problems, but researchers did find subtle deficits six months after the alpha-synuclein injection. The mice were worse at balancing on a turning rod and couldn’t cling to a wire cage for as long as mice that had been injected with saline.
Scientists don’t know whether such cell-to-cell transmission happens in people, because it’s impossible to do similar studies on humans. But some clues come from the brain of a woman with Parkinson’s who received stem cell transplants in an effort to replenish her missing neurons. Fourteen years after the procedure, Lewy bodies were found in these previously healthy transplanted cells, raising the possibility that alpha-synuclein had spread there from the rest of the brain.
Neurologist and neuroscientist Ted Dawson of Johns Hopkins University School of Medicine cautions that it’s still not clear that the alpha-synuclein spreading has to happen for the protein to cause damage. “I think transmission occurs,” he says. The real question, he adds, is whether that transmission is important to the disease. “I don’t think anyone’s answered that in a convincing way.”
If scientists could understand how alpha-synuclein travels from cell to cell in the brain, they could potentially stop the spread, and potentially with it, the disease. Antibodies that slurp up alpha-synuclein as it leaves a cell might prove beneficial, says Dawson.