Stroke victims with busy immune responses may also see mental declines
A small study hints at a way to predict who might fare worse among survivors

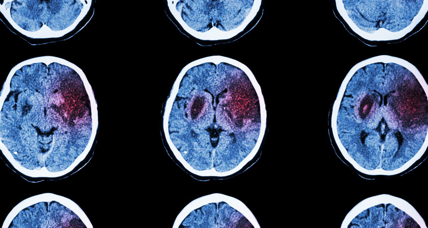
BRAIN ATTACK Most strokes in the United States are caused by a blood clot in the brain. Now scientists have linked a person’s immune response shortly after a stroke with a later loss in cognitive ability.
stockdevil/iStock