Neuroscience

  1. Neuroscience

    Readers respond to stress, tattoos, and the universe

    Stress, tattoos, cosmic origins and more reader feedback.

    By
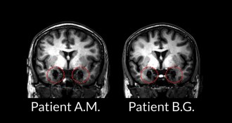
  2. Neuroscience

    Scientists still haven’t solved mystery of memory

    50 years have refined a basic understanding of the brain, but scientists are still exploring how memories form, change and persist.

    By
  3. Health & Medicine

    Mind’s healing powers put to the test in new book

    Cure: A Journey Into the Science of Mind Over Body investigates the brain’s role in keeping people healthy.

    By
  4. Paleontology

    Fossil reveals an ancient arthropod’s nervous system

    A roughly 520-million-year-old fossil preserved an ancient arthropod’s ventral nerve cord and peripheral nerves.

    By
  5. Neuroscience

    Brain cells aglow after viral delivery

    The virus AAV-PHP.B proves best at delivering genes to brain cells in mice. Similar viruses may eventually be used for gene therapy in humans.

    By
  6. Neuroscience

    Re-creating womb sounds perks preemies’ attention

    Babies born prematurely may benefit from hearing a recording of their mothers’ voices and heartbeats.

    By
  7. Neuroscience

    Tiny bare-bones brains made in lab dishes

    A reliable way to make standard-issue minibrains could help scientists study the human brain.

    By
  8. Neuroscience

    Early exposure to signing helps deaf kids on mental task

    Deaf kids exposed to sign language from birth performed better on a task that required attention and impulse control.

    By
  9. Neuroscience

    Cancer drug’s usefulness against Alzheimer’s disputed

    A preliminary report questions the anti-Alzheimer’s activity of a cancer-fighting drug.

    By
  10. Neuroscience

    Mouse study offers clues to brain’s response to concussions

    The brain needs time to recover between head hits, a study in mice suggests.

    By
  11. Neuroscience

    Immune system gene leads to schizophrenia clue

    Excessive snipping of nerve cell connections may contribute to schizophrenia.

    By
  12. Health & Medicine

    Monkeys with human gene show signs of autism

    Genetically altered monkeys may help scientists understand autism.

    By