Alzheimer’s targets brain cells that help people stay awake
The new finding could fundamentally refocus dementia research

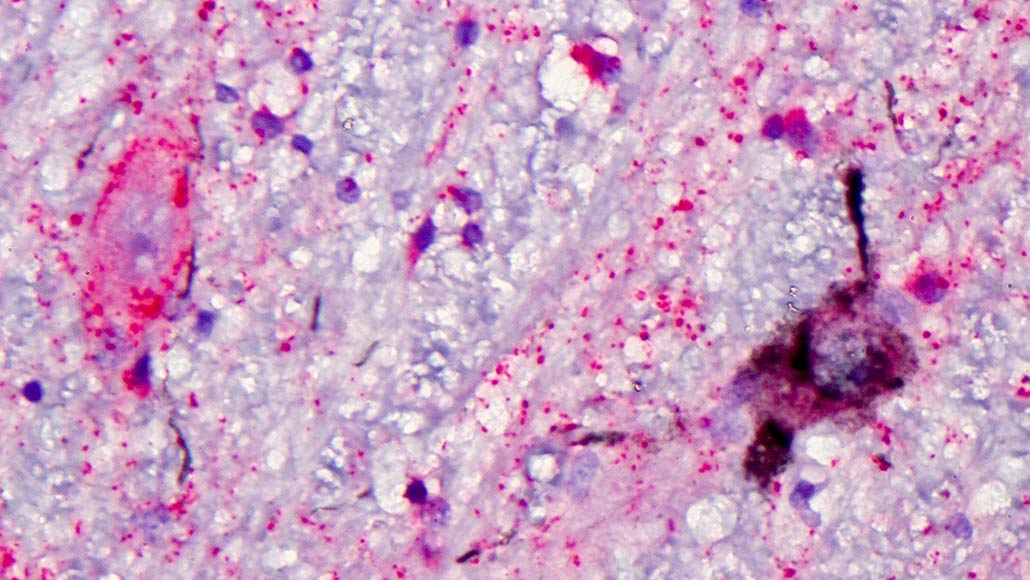
SLEEPY TIME In part of a human brain stem, a healthy nerve cell (red, left) releases a chemical messenger involved in wakefulness. Nearby, a nerve cell (brown, right) packed with tau, a protein tied to Alzheimer’s, is too damaged to work properly.
L. Grinberg