A key to the mystery of fast-evolving genes was found in ‘junk DNA’
New study turns evolutionary dogma on its head by finding that essential genes can evolve fast

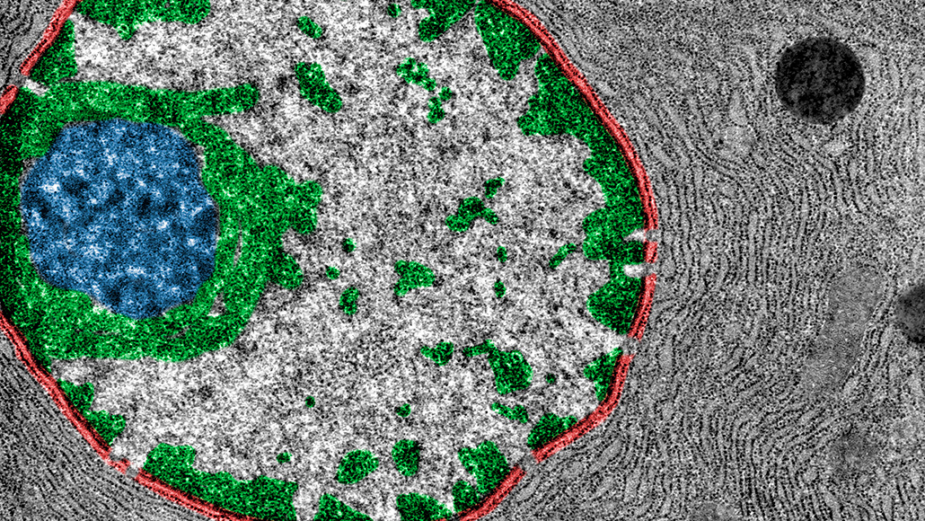
Heterochromatin (shown in green) was once thought of as inert "junk DNA" due to its lack of genes, but now scientists are discovering it has some very important roles.
Jose Luis Calvo/Science Source
- More than 2 years ago
A long-standing puzzle in evolution is why new genes — ones that seem to arise out of nowhere — can quickly take over functions essential for an organism’s survival.
A new study in fruit flies may help solve that puzzle. It shows that some new genes quickly become crucial because they regulate a type of DNA called heterochromatin. Once considered “junk DNA,” heterochromatin actually performs many important jobs, including acting like a tightly guarded prison: It locks up “bad actor” genes, preventing them from turning on and doing damage.
Heterochromatin is also one of the fastest-changing bits of DNA in the body, so the genes that regulate it have to adapt quickly just to keep up, evolutionary biologist Harmit Malik at the Fred Hutchinson Cancer Research Center in Seattle and his colleagues report online November 10 in eLife.
“The work is a milestone,” said Manyuan Long, an evolutionary biologist at the University of Chicago who was not involved in the research. “It is really amazing seeing such an important role the heterochromatin plays in gene evolution.”
Scientists have documented many cases of genes that seem to arise from scratch and give an organism a new ability. For instance, one such gene in fish makes a novel antifreeze protein; another in flies is essential for flight.
About a decade ago, researchers discovered that new genes don’t just confer new functions; some may actually be necessary for survival. In the fruit fly Drosophila melanogaster, as many as 30 percent of “new” genes are essential, with some arising as recently as 3 million years ago — a flash in evolutionary timescales. The discovery overturned a long-held belief that important genes don’t really change much over the course of evolution.
Malik’s team investigated a large family of genes in fruit flies that regulate other genes — turning them on and off for various tasks in the cell. It found that within the family of 85 or so genes, the genes that were evolving more rapidly were more likely to control essential functions for the fly. In fact, 67 percent of rapidly evolving genes were essential compared with 20 percent in the slower-evolving group.
“The dogma is completely opposite than what you would expect,” said Malik.
The team found that one of the new essential genes, dubbed Nicknack, issues instructions for a protein that binds to heterochromatin, although the details remain unknown.
To see how quickly Nicknack might have taken over an essential function, the researchers replaced the Nicknack gene in D. melanogaster with the Nicknack gene in its closest evolutionary relative, D. simulans. The two species of flies split into two branches of the fruit fly tree roughly 2.5 million years ago. Scientists would typically expect the Nicknack gene of S. simulans to be basically the same as the one in D. melanogaster,because it is essential and therefore wouldn’t have changed much over the short span (in evolutionary terms) of a couple million years.
They tested this theory by swapping the gene from D. simulans into the D. melanogaster fly, expecting that if the genes were the same, the trade would have no effect. But instead, the female flies survived the swap just fine, but all the males died. Malik thinks the difference between the sexes has to do with heterochromatin: The Y chromosome contains a lot of it.
“It’s as if [D.] simulans’ [Nicknack gene] comes in with its hand tied behind its back,” Malik says. “It’s good enough to do its function in female flies, but in male flies, where there is a huge block of heterochromatin, it can’t.” In other words, the gene from one species is no match for its counterpart in the other.
The result suggests that in the 2.5 million years since the two species split, D. melanogaster evolved its own version of Nicknack. And because the swap adversely affected the males, with their abundance of heterochromatin in the Y chromosome, the researchers concluded that Nicknack must play some crucial role in regulating heterochromatin. And since heterochromatin evolves so rapidly, the Nicknack gene has to evolve rapidly too, so it doesn’t become obsolete.
Next, Malik hopes to do more studies to understand the exact function of Nicknack. That may help shed light on heterochromatin’s role in shaping the speed and course of evolution. Scientists, he says, are just at the beginning of understanding the many ways this “junk DNA” is anything but junk.