Nanomaterials, the current darlings of industry, are showing up in products ranging from cosmetics to electronics. However, new animal studies indicate that inhaling these microscopic spheres and tubes could cause big trouble, especially for workers who manufacture and handle them.

That message came through loudly in New Orleans last week at the Society of Toxicology meeting, where several dozen reports unveiled details about how nanopollutants interact with the body. Most of the studies focused on the effects of lung exposures because the particles’ size—just a few billionths of a meter in diameter—permits them to reach the most vulnerable lung tissue.
John T. James of NASA’s Johnson Space Center in Houston, and his colleagues squirted nanoparticles into the respiratory tracts of mice and then examined the rodents after 1 week and after 3 months. Although sootlike carbon nanospheres caused no harm, an equal mass of commercially available carbon nanotubes wreaked significant lung damage, even killing a few animals.
In one especially graphic effect, immune system cells called macrophages trapped nanotubes but then died. The ensuing inflammation scarred lung tissue by creating patches, called granulomas, that entombed the nanotubes.
James describes the doses that his team used as “not terribly unrealistic.” He estimates that at the current federal limit for inhaled carbon, workers could receive equivalent doses, scaled for body size, in 17 days.
Petia Simeonova and her coworkers at the National Institute of Occupational Safety and Health in Morgantown, W. Va., also observed particle-rich lung granulomas in mice receiving similar doses of carbon nanotubes. The researchers also measured damage to mitochondrial DNA in the heart and its aortic artery. Mitochondrial damage foreshadows the onset of atherosclerosis.
Mice that had been exposed to nanotubes showed substantial DNA damage that persisted for at least 6 months. Simeonova also reported substantial oxidative damage—another atherosclerosis risk—in the animals’ hearts, aortas, and lungs.
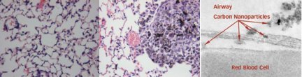
At the meeting, Akinori Shimada of Tottori (Japan) University presented the first series of images depicting nanoparticles moving from lungs into blood. Within a minute of contacting a mouse lung’s tiniest airways, carbon nanoparticles began funneling through tiny gaps between surface cells and burrowing into capillaries.
There, the negatively charged nanoparticles glommed on to red blood cells, which ordinarily carry a positive charge. If this attachment reverses the blood cell’s surface charge, Shimada speculates, it could foster clumping—even clots.
Researchers from the University of Rochester (N.Y.) reported an increased susceptibility to clotting in rabbits that had inhaled carbon nanospheres. The team damaged blood vessels by shining laser light onto the animals’ ears and then measured how long it took for a clot to form.
To mimic bad urban air pollution, the researchers gave the rabbits air containing 70 micrograms of nanospheres per cubic meter for up to 3 hours. In this regimen, clotting took less than half as long as it had in a trial 2 days earlier with the same animals breathing clean air. The effect shows up quickly after exposure, reports Alison Elder, suggesting that nanoparticles travel from the lungs to the bloodstream rather than send clotting agents from the lungs.
Many researchers who acknowledge the potential dangers of nanoparticles point out that industry safely uses countless toxic and dangerous substances. “The important thing is dose,” said Anthony Seaton, emeritus professor at the University of Aberdeen in Scotland, at the meeting. There should be little problem if industry keeps worker exposures low, he says.