Newly identified stem cells can lure breast cancer to the spine
Stem cells in the vertebrae secrete a protein that acts as a tumor attractor

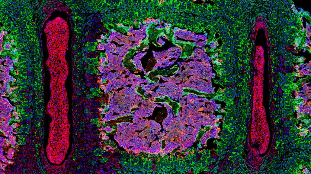
Scientists have discovered a new type of stem cell that forms spinal tissue (in mice, these stem cells and the cells they produce are shown in green).
J. Sun et al./Nature 2023
By Meghan Rosen
- More than 2 years ago
When breast cancer spreads, it often targets the spine. Now scientists may have finally discovered why.
A newfound kind of stem cell drives cancer cells to bones in the vertebrae, pathologist Matthew Greenblatt of Weill Cornell Medicine in New York City and his colleagues report September 13 in Nature. The find helps explain a long-standing mystery of metastasis: why some cancers break away from their site of origin, journey through the bloodstream and take up residence in the backbone.
“This is a major advance in our understanding of bone metastasis,” says Xiang Zhang, a cancer biologist at Baylor College of Medicine in Houston who was not involved with the new study.
In people with metastatic breast cancer, some 70 percent experience subsequent bone cancer. And of the bones in the skeleton, cancer cells preferentially seek out vertebrae. For these patients, “spine metastases are one of the most common complications,” Greenblatt says, “and one of the most dreaded.” Tumors that take root in the spine can crush the spinal cord, which houses nerve bundles crucial for body sensation and movement. Such damage can hamper people’s ability to walk and control their bladder and bowels, and shorten their life spans.
Doctors have known for decades that some cancers preferentially seek out the spine, Greenblatt says, but no one has had a good explanation for why. One idea proposed in 1940, that actions like coughing jolt blood off course and somehow send cancerous cells to the vertebrae, still hangs on today. It’s what Greenblatt learned when he was a medical student. But for him and his team, “that didn’t make sense to us scientifically.”
What did end up making sense was stem cells. The researchers had a hunch that stem cells inside vertebral bones differed from those in other sites in the skeleton, like the long bones in the arms and legs. In the lab, that’s just what they found. Greenblatt’s team pulled out a population of stem cells from mice vertebrae distinctly unlike ones collected from long bones. These new stem cells switched on a separate set of genes and behaved differently in experiments, the researchers found.
Until now, scientists didn’t know that these two types of bones held distinct populations of stem cells. “We assumed they were the same,” says Geert Carmeliet, a cell and molecular endocrinologist at KU Leuven in Belgium who was not involved with the work, but wrote an accompanying commentary. The team’s discovery raised the possibility that spinal stem cells might play a role in spinal disease.

In one key experiment, Greenblatt’s team transplanted spinal stem cells into one hind leg of mice and long bone stem cells into the other. Each transplant formed miniature bones, or organoids, in the animals’ bodies — a tiny vertebra on the right, for example, and a bit of long bone on the left. Then, the researchers injected breast cancer cells into the mice and watched where they ended up.
The cells traveled to the mini vertebra nearly twice as often as they did to the little long bone, as if lured by a cancer-calling Pied Piper. It’s an elegant way to show that “tumor cells preferentially come to the [vertebra] organoid and not to the organoid of the long bone,” Carmeliet says.
The newly identified spinal stem cells, found in both mice and humans, secrete a protein called MFGE8 that acts as a tumor attractant, the team discovered, drawing cancer cells to spinal tissue. The protein may not be the only factor involved, Greenblatt says, “but it’s an important one in driving tumor cells to the spine.”
It’s possible that blocking MFGE8 could prevent or treat spine metastasis. “I think it’s definitely worth further investigation,” Zhang says. But, he notes, it’s still too early to know what the therapeutic implications may be.
Greenblatt’s team is now exploring whether the new stem cells can recruit other types of tumor cells to the spine. When prostate cancer spreads, for example, it also tends to travel to vertebrae over other types of bone. He and his colleagues are also curious whether our bones may be hiding anything else. “We’re starting to think about what other stem cells may be left to discover in the skeleton.”