These are the most-read Science News stories of 2019
A study suggesting that humans can sense Earth’s magnetic field (illustrated) ranked among the most read stories on Science News' website in 2019.
vchal/Shutterstock
- More than 2 years ago
Science News drew more than 15 million visitors to our website this year. Here’s a rundown of the most-read news stories of 2019 that didn’t make our Top 10 list, as well as the most popular longer reads.
Top news stories
1. A chip made with carbon nanotubes, not silicon, marks a computing milestone
Researchers built a new kind of computer chip with thousands of carbon nanotube transistors. Though the prototype can’t yet compete with silicon chips, carbon nanotube computing technology could lead to faster electronics (SN: 9/28/19, p. 7).
2. People can sense Earth’s magnetic field, brain waves suggest
People’s brain waves showed a distinct pattern when exposed to an Earth-strength magnetic field pointing in a specific direction in the lab. That finding hints that humans may have magnetoreception, similar to birds and certain other organisms .
3. In a first, scientists took the temperature of a sonic black hole
The temperature of a lab-made black hole that traps sound instead of light agrees with a prediction by cosmologist Stephen Hawking: that black holes emit a small stream of particles called Hawking radiation (SN: 6/22/19, p. 14).
4. Why kids may be at risk from vinyl floors and fire-resistant couches
Children from homes with all vinyl flooring and flame-retardant couches had higher levels of some potentially harmful chemicals in blood and urine than other kids did, one study found. The finding suggests that these home furnishings release the chemicals quickly enough for them to build up in residents’ bodies (SN: 3/16/19, p. 14).
5. Archaeologists tie ancient bones to a revolt chronicled on the Rosetta Stone
An ancient soldier’s skeleton unearthed from Egypt’s Nile Delta may be physical proof of a revolt around 2,200 years ago. The Rosetta Stone describes the victory of pharaoh Ptolemy V, from a Greek dynasty, over a faction of the native Egyptian revolt. But archaeological evidence of the uprising is scarce.
Top feature stories
1. Vitamin D supplements aren’t living up to their hype
Vitamin D’s popularity soared after findings hinted that it could protect against multiple sclerosis, asthma, depression, heart disease, cancer and other ailments. But a series of studies has cast doubt on these supposed benefits (SN: 2/2/19, p. 16).
2. Measles erases the immune system’s memory
Measles wipes away the immune system’s memories of germs it has previously fought. This “immune amnesia” can leave people at risk of infections from harmful viruses and bacteria for months to years (SN: 6/8/19, p. 20).
3. With its burning grip, shingles can do lasting damage
The virus responsible for chicken pox can lie dormant for decades, only to reemerge later in life as shingles. The disease is more than just a painful rash. Shingles can damage arteries and may raise the risk of stroke and dementia, scientists are finding (SN: 3/2/19, p. 22).
4. The CBD boom is way ahead of the science
Food, health and wellness products infused with cannabidiol, also known as CBD, are becoming increasingly popular. The substance, derived from cannabis plants, is sold as a remedy for pain, anxiety, insomnia and other conditions without getting the user high. But most health benefits attributed to CBD don’t yet have scientific backing (SN: 3/30/19, p. 14).
5. How the periodic table went from a sketch to an enduring masterpiece
Science News kicked off its coverage of the periodic table’s 150th anniversary with a look at Russian chemist Dmitrii Mendeleev, whose original table had just 63 elements. Scientists have since added many more elements to the table, one of the most important tools in chemistry (SN: 1/19/19, p. 14).
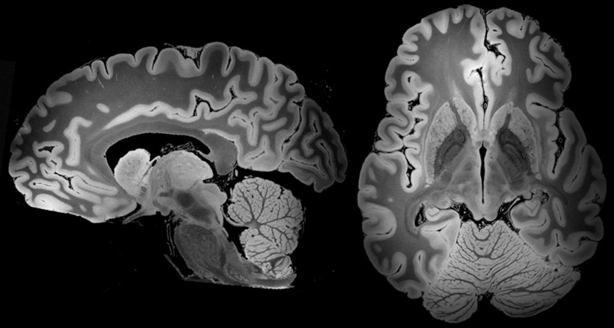
Favorite visualization
Online readers were captivated by “A 100-hour MRI scan captured the most detailed look yet at a whole human brain” (SN Online: 7/8/19). With a high-resolution image of a preserved human brain (below), researchers could spot structures less than a tenth of a millimeter wide. That precision may someday help pinpoint in living brains abnormalities linked to comas, depression or other illnesses.
