By Nathan Seppa, Peter Weiss and Kate Ramsayer
- More than 2 years ago
The 2003 Nobel prizes in the sciences were announced early this week.

Physiology or Medicine
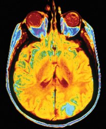
Two scientists will share this year’s Nobel Prize in Physiology or Medicine for their groundbreaking work in producing images of internal organs by inducing live tissues to emit tiny radio signals.
In this technology, called magnetic resonance imaging (MRI), a technician exposes a portion of a patient’s body to a strong magnetic field. Like compass needles swiveling north, protons in the tissue’s atoms align with the applied magnetic field. Then, the technician directs a radio pulse at the tissue, scrambling the positions of the protons. When the pulse ends, the protons revert to their original positions, emitting measurable radio signals.
Scientists discovered the phenomenon of magnetic resonance (MR) in the 1940s and used it initially for determining chemical structures. Then, in the 1970s, Paul C. Lauterbur, a chemist at the State University of New York in Stony Brook, added a second set of magnets to an MR device. This development led to instruments capable of generating images. Lauterbur, who is now at the University of Illinois at Urbana-Champaign, finessed the technique so that it could yield more-detailed, two-dimensional images that portrayed differences between tissues that have varying water concentrations. The work has earned him a share of the prize.
The other Nobel winner, Peter Mansfield of the University of Nottingham in England, expanded on Lauterbur’s findings by developing mathematical techniques for capturing, analyzing, and processing MR signals more efficiently. His work has made possible three-dimensional renderings of internal organs.
It helps that water makes up two-thirds of the human body. Water is readily identifiable in MRI because the protons in each molecule’s two hydrogen atoms give off radio waves in a recognizable frequency. By detecting this signature and generating images from it, MRI allows a physician to distinguish between fluids and soft tissues such as brain and muscle, neither of which shows up clearly on X rays.
In 2002, doctors prescribed roughly 60 million MRIs.
“I’m thrilled that this work has finally been recognized,” says Peggy Fritzsche, a radiologist at Loma Linda University School of Medicine in California and president of the Radiological Society of North America. The award, she says, is long overdue.
A typical MRI machine is roughly the size of an office cubicle and has a long tube through its middle. A patient lies in this tube, surrounded by the powerful magnet at the heart of the machine. MRI images can reveal injuries, cancer, brain damage, and other tissue abnormalities. The technology differs from X rays and computed tomography, technologies for which scientists won Nobel prizes in 1901 and 1979, respectively. While those devices use ionizing radiation to create images of internal tissues, MRI relies on apparently harmless radio waves and magnets.
“This is a wonderful example of how basic research on atoms and molecules led to an important clinical application [that has] revolutionized the practice of medicine,” says Elias A. Zerhouni, director of the National Institutes of Health. MRI “improves diagnosis and reduces the need for surgery and other invasive procedures,” he says.
Physics
For their theoretical insights regarding some of the strangest behaviors ever observed in metals and fluids, three physicists have won this year’s Nobel Prize in Physics.
Vitaly L. Ginzburg of the P.N. Lebedev Physical Institute in Moscow and Alexei A. Abrikosov, now at Argonne National Laboratory in Illinois, were selected for their theories about superconductors—materials that shed all electrical resistance when chilled to extremely cold temperatures (SN: 11/30/02, p. 350: Available to subscribers at Resistancefree wire takes long jump).
Superconductor-based technologies, including modern particle accelerators and magnetic resonance imaging scanners—a technology that netted its developers this year’s Nobel Prize in Physiology or Medicine—stem from the work of Ginzburg and Abrikosov, says David C. Larbalestier of the University of Wisconsin–Madison.
In 1950, Ginzburg and the late Russian physicist Lev D. Landau, winner of a 1962 Nobel prize, devised an explanation for subtle features of what were then the only known superconductors, supercooled metals that block external magnetic fields from entering them. Sufficiently strong magnetic fields destroy the superconductivity of these metals.
Later in the 1950s, physicists began noticing that some superconducting alloys behave differently: They accept magnetic fields and retain superconductivity in much higher magnetic fields than the previously known superconductors could withstand.
Building on the Ginzburg-Landau theory, Abrikosov in 1957 proposed that only small regions of such materials—those around which electrons swirl in tiny vortices—lose superconductivity; the bulk of the material remains superconductive. Abrikosov did his pioneering work at the Kapitsa Institute for Physical Problems in Moscow and other Russian institutions.
The third winner of this year’s physics prize, Anthony J. Leggett, a British-born scientist now at the University of Illinois at Urbana-Champaign, helped demystify another spectacular cryogenic phenomenon of some materials: superfluidity, or the ability of some fluids to flow without friction (SN: 9/23/00, p. 207: Available to subscribers at Hydrogen hoops give superfluid clues).
Scientists first discovered superfluidity in the late 1930s, while studying liquid helium chilled to nearly absolute zero. Then, in 1972, experimenters found that a rare isotope of helium known as helium-3 also becomes a superfluid. Instead of regular helium’s single superfluid state, however, helium-3 can assume three different superfluid states. This increased complexity was a surprise.
That’s where Leggett came in. Then at the University of Sussex in England, he proposed a mechanism for superfluidity by which atoms in helium-3 behave in a manner similar to the electrons in a superconductor, although with some crucial differences.
When superconductors are cooled to sufficiently low temperatures, their free electrons form pairs, overcoming their natural, electrostatic repulsion. Those pairs then interact with countless other pairs in a coordinated way that permits resistance-free current flow.
Leggett proposed that atoms of helium-3 also pair up but, because of magnetic properties of their nuclei and other factors, coordinate their interactions in three different ways, or phases.
“Tony Leggett made some of the absolutely key theoretical contributions which allowed us to understand [our] results,” recalls David M. Lee of Cornell University, one of the discoverers of helium-3 superfluidity. For that discovery, he and his colleagues won the Nobel Prize in Physics in 1996.
Chemistry
Discoveries about how molecules move through cell membrane pores earned two scientists this year’s Nobel Prize in Chemistry. Identifying the channel for water and determining the structure of the potassium channel led to insights into cellular function and diseases of the kidney, heart, muscle, and nervous system, notes the Nobel academy.
Peter Agre of the Johns Hopkins Medical Institutions in Baltimore and Roderick MacKinnon of Rockefeller University in New York will split the prize, announced at press time. More on their research will appear in next week’s Science News.
****************
If you have a comment on this article that you would like considered for publication in Science News, send it to editors@sciencenews.org. Please include your name and location.