What is ‘Stage 0’ breast cancer and how is it treated?
Here’s what the science says in the wake of actress Danielle Fishel's diagnosis

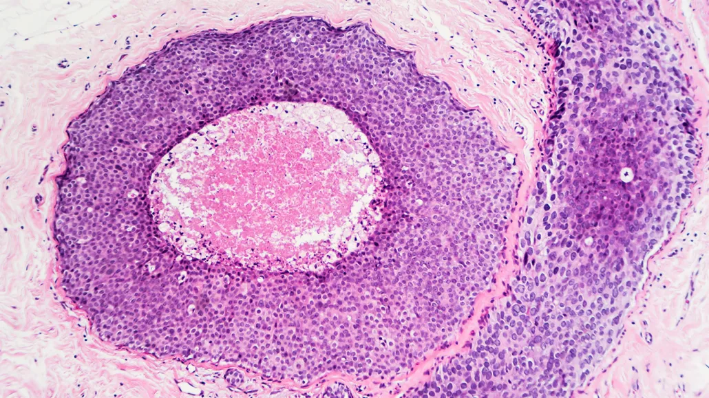
Ductal carcinoma in situ, the appearance of tumor cells within the mammary ducts (shown here in a microscope image), is the earliest form of breast cancer and affects 55,000 people per year in the United States.
rightdx/Getty Images
Actress Danielle Fishel made headlines last week when she announced that she had “very, very, very early” breast cancer.
“It’s technically Stage 0,” the Boy Meets World star said on her podcast, “Pod Meets World,” on August 19. She plans to have surgery to remove the cancer, “and I’m going to be fine,” she said.
Hearing such an optimistic story about a cancer diagnosis is heartening. But what exactly does “Stage 0 breast cancer” mean? Science News dug into the details.
What is Stage 0 cancer?
Stage 0 cancer is a condition where cells in the body look like cancer cells under a microscope but haven’t left their original location. It’s also known as carcinoma in situ or noninvasive cancer, because it hasn’t invaded any of the surrounding tissues. Sometimes it’s not even called cancer at all.
“A lot of people think of these as kind of precancer lesions,” says Julie Nangia, an oncologist at Baylor College of Medicine in Houston.
There are many different types of Stage 0 cancer, depending on which tissue or organ the cells are from. Some cancers, like sarcomas (cancers of the bones or skin), don’t have a Stage 0.
Fishel’s diagnosis is called ductal carcinoma in situ, or DCIS. This means some cells in the milk ducts in the breast look abnormal, but those cells haven’t grown outside the milk ducts and moved into the rest of the breast tissue.
The trouble is, they could. If the abnormal cells do break through the milk duct, the severity of the ensuing cancer can range from Stage 1 to the most advanced Stage 4, depending on how big the tumor is and how far the cancer has spread throughout the body.
How common is DCIS?
Before regular screening mammograms became the norm, DCIS accounted for just 5 percent of breast cancer diagnoses, says breast cancer surgeon Sara Javid of the Fred Hutch Cancer Center in Seattle (SN: 6/13/14).
Now, DCIS accounts for about 20 percent of newly diagnosed breast cancers. About 50,000 cases are diagnosed in the United States every year, and it turns up in one out of every 1,300 mammograms.
Still, because Stage 0 breast cancer doesn’t really have any symptoms, it’s possible to have it and never notice. “A lot of women have DCIS and don’t know, especially older women, as it’s typically a disease of aging,” Nangia says.
For other Stage 0 cancers, the situation is different. Stage 0 cancers in other internal organs are often too small to show up on a scan. Widespread screening tests in other organs might be unsafe or take too many resources to run on a whole population.
The main exception is melanoma in situ, or Stage 0 skin cancer, which can be visible on the skin. That diagnosis is even more common than DCIS: Nearly 100,000 cases are expected in the United States in 2024.
How do you know if you have DCIS?
Most DCIS cases are caught by regular screening mammograms, the kind that people with breasts are encouraged to get annually starting at age 40 or 45. That’s how Fishel got her DCIS diagnosis.
“This is exactly why we want women to have screening mammograms,” Nangia says. “We want to catch cancer at its earliest stages where it’s incredibly easy to cure.”

How is DCIS treated?
Most DCIS is treated with surgery, radiation or some combination of the two. Chemotherapy is never recommended.
The surgery can be a “lumpectomy,” a localized surgery that just removes the cancer-looking bits. If there are multiple instances of DCIS in the same breast, a full mastectomy might make sense. After that, some patients get radiation to further eradicate the cancer cells, and some get hormone therapy to lower the odds of it recurring.
“The goals of therapy are really twofold,” Javid says. First, therapy can prevent DCIS from evolving into invasive cancer. But also, treatment can rule out other invasive cancer that was hiding near the DCIS but was missed by a biopsy. There’s a 5 to 20 percent chance that a pathologist examining tissues removed during surgery will find invasive cancer there already, Javid says.
The odds of survival are good: People with Stage 0 breast cancer have a normal life expectancy with a survival rate of around 98 percent after a decade of follow-up.
Is surgery always the best treatment?
That’s controversial. It’s not clear if the high life expectancy is because screening catches the abnormal cells before they became invasive, or if those abnormal cells would never have invaded other tissues at all.
“What we now know is that probably not all DCIS cases have the ability to progress to invasive cancer, and even those that do may not progress to invasive cancer during a patient’s lifetime,” said surgical oncologist Shelley Hwang of Duke University School of Medicine in Durham, N.C., in a video explaining her research.
“As screening technology improves, we’re able to detect earlier and earlier conditions that may look like cancer, but may not necessarily behave as cancer,” Hwang said. “What this means is that for the majority of women who are diagnosed and treated for DCIS … these treatments may really not benefit the patient substantially.”
Are there any other options?
The main alternative to surgery is called active surveillance or watchful waiting — basically, keep an eye on the cells and wait to see if they do anything scary.
That may be a familiar concept to anyone who has been diagnosed with prostate cancer, which is slow to grow. It used to be that every diagnosis of prostate cancer came with a recommendation for surgery and radiation treatment. But clinical trials showed that patients who monitored their cancer and put off surgery until it turned malignant had similar life expectancies to those who cut the cancer cells out.
For DCIS, there are ongoing clinical trials in the United Kingdom, Europe, the United States and Japan to see if active surveillance has better or worse outcomes than surgery. At least one of those trials, the COMET study in the United States, is expected to publish results by the end of 2024, says social scientist Thomas Lynch of Duke University Medical Center.
“The results may increase treatment options for women diagnosed with low-risk DCIS if active monitoring is shown to be a safe, effective alternative to surgery,” he says.
But without a way to tell which cases of DCIS will become dangerous, doctors generally recommend treating all cases as if they will.
“I also don’t think you can underestimate the psychological effects of just leaving a breast cancer there and watching it,” Nangia says. “It causes patients a lot of anxiety.… There’s definitely a mental component to all of this.”
Is there a way to tell which of these abnormal cells will become invasive cancer?
Sadly, no — at least not yet.
Doctors do have a grading system for classifying which cells they think are at the highest risk for becoming invasive. Low-grade is least likely, high-grade is most likely. Fishel was diagnosed with high-grade DCIS that has started to extend into adjacent tissues, which suggests surgery is a good fit.
But many research groups around the world are trying to get more precise. They’re looking for features of Stage 0 cells or their environments that would neatly separate the preinvasive cases from the dormant ones (SN: 9/27/13).
One 2022 study looked at how calcium phosphate minerals form inside ducts with DCIS, with the aim of eventually connecting those details to disease progression. Some studies are looking to the cancer cells’ genome for signs of danger. Others look at the molecular properties of the cells themselves, or of their microenvironments in the body.
Do announcements from celebrities like Danielle Fishel help?
“Oh, absolutely, it’s so helpful,” Nangia says. “Especially when they do it in a thoughtful way,” like Fishel did.
Nangia also points to Angelina Jolie, whose 2015 disclosure of her family’s cancer history and her decision to have preventative surgery sparked a national discussion about how genetics can affect cancer risk (SN: 4/10/15).
Beyond just raising awareness, celebrity declarations can encourage people who may have been on the fence to go in for screening.
“I think what we’ll see now is some women who have not gotten their screening mammograms say, ‘Oh, I should do this too,’” Nangia says. “I’m hoping we see a wave of more people coming in for preventative care.”